Exploration d’urgence en ophtalmologie
Indication des différents types d'imagerie en urgence
M. PUECH, S. KALLEL
L'imagerie en ophtalmologie devient de plus en plus utile en pratique courante et prend une place croissante en situation d'urgence [1, 2]. La prise en charge des patients est assez codifiée (traumatologie, neuro-ophtalmologie, pathologies infectieuses, etc.) pour une meilleure efficacité des soins. L'imagerie en urgence ou semi-urgence complète le diagnostic, guide le traitement et permet un suivi évolutif dans différentes situations cliniques.
Les tableaux post-traumatiques sont assez différents en cas de simple contusion, de plaie oculaire ou de traumatisme par corps étranger : le bilan par imagerie précise les lésions associées ( fig. 6-1-1 ) et permet le suivi évolutif.
Devant un traumatisme à globe fermé avec important chémosis ou avec perte de transparence des milieux oculaires, l'exploration par échographie est souvent très utile et peu invasive. L’ ultrasound biomicroscopy (UBM) recherche une rupture du sphincter irien, une récession de l'angle ou une désinsertion de l'iris. L'exploration du cristallin par UBM peut montrer une luxation ou subluxation du cristallin, une cataracte traumatique, une plaie de la cristalloïde postérieure.
L'exploration du segment postérieur par échographie en mode B recherche une hémorragie du vitré, un œdème rétinien contusif (œdème de Berlin), des déhiscences rétiniennes associées ou non à un décollement de rétine ou de la choroïde.
Dans les traumatismes à globe ouvert, l’échographie, réalisée après suture étanche du globe oculaire, fait le bilan des lésions intra-oculaires et orbitaires.
Ce tableau clinique souvent associé à un trouble des milieux et à une plaie oculaire doit bénéficier d'un bilan radiologique, le plus souvent par scanner (fig. 6-1-2), complété par un bilan échographique afin de rechercher des corps étrangers intra-oculaires (CEIO), en apprécier leur nature et leur nombre et réaliser le bilan des lésions associées.
Un tableau clinique d’œil rouge en urgence peut être associé ou non à une baisse d'acuité visuelle orientant ainsi le choix vers une exploration par imagerie adaptée (fig. 6-1-3).
Ce tableau clinique doit faire rechercher une sclérite et ses conséquences sur le globe oculaire :
- –
en cas de suspicion de sclérite postérieure, une exploration par tomographie par cohérence optique ( optical coherence tomography [OCT]), angiographie et échographie recherche un épaississement de la paroi oculaire, un décollement de rétine exsudatif mais aussi une zone hypo-échogène rétrosclérale, le plus souvent localisée autour du nerf optique, signant le diagnostic de sclérite postérieure. L'imagerie peut aussi faire le diagnostic différentiel avec une pseudo-tumeur inflammatoire;
- –
en cas de suspicion de sclérite nécrosante, une angiographie ou une OCT-angiographie du segment antérieur peuvent mettre en évidence une vascularite occlusive avec dilatation du plexus épiscléral associée à des zones d'ischémie infraclinique.
Ce tableau clinique peut faire évoquer une uvéite ou une endophtalmie (notamment dans les suites d'une chirurgie oculaire) ou une crise aiguë de fermeture de l'angle.
Selon l’étiologie suspectée, une angiographie rétinienne à la fluorescéine et au vert d'indocyanine peut mettre en évidence un aspect de vascularite segmentaire (fig. 6-1-4) ou diffuse souvent associé à une ischémie rétinienne avec recherche de néovascularisation. Dans certains cas, l'examen montre des foyers choroïdiens ou rétiniens.
L'examen par OCT et OCT-angiographie peut montrer un œdème maculaire cystoïde ou un œdème papillaire, parfois associés à un décollement séreux rétinien (fig. 6-1-5) ou à un décollement de l’épithélium pigmentaire.
Un complément d'exploration par échographie est utile en cas de synéchies iridocristalliniennes ou de perte de transparence des milieux pour faire le bilan des lésions associées, permettant parfois de mettre en évidence un foyer pariétal (fig. 6-1-6) ou un décollement de rétine.
En cas de mauvaise visualisation du fond d’œil, une échographie en mode B est indiquée à la recherche d'un abcès intravitréen, de pseudo-membranes ou d'un décollement de rétine associé.
L'OCT peut mettre en évidence la fermeture de l'angle avec blocage pupillaire (fig. 6-1-7), mais l'uBM donne une visualisation plus complète de l'angle et permet d'identifier le mécanisme de fermeture de l'angle : simple blocage pupillaire, insertion antérieure de la racine de l'iris, mécanisme d'iris plateau, polykystose iridociliaire ou glaucome malin, etc. [3, 4].
En cas de poussée d'hypertonie oculaire avec angle étroit en gonioscopie, un examen par OCT ou UBM peut montrer une fermeture de l'angle iridocornéen (voir fig. 6-1-3 ).
Devant un aspect de flou papillaire, une angiographie à la fluorescéine permet la recherche d'un œdème papillaire, visible aussi sur une OCT du nerf optique et en OCT-angiographie.
Une choriorétinite postérieure peut être explorée par OCT ou par échographie en mode B à la recherche de signes inflammatoires de la paroi postérieure.
Les examens d'imagerie sont orientés par l'examen clinique (fig. 6-1-8).
L'examen du fond d’œil, documenté par des photographies en couleurs et filtrées, peut être normal durant les premières heures, mais souvent il apparaît, de façon retardée, un rétrécissement majeur du calibre artériel associé à une macula « rouge cerise » faisant indiquer une exploration par angiographie en urgence. L'angiographie peut mettre en évidence d'autres étiologies d'occlusion de l'artère centrale de la rétine comme des foyers toxoplasmiques, des drusen de la papille, une boucle artérielle [5]. L'OCT maculaire et l'OCT-angiographie complètent cette approche.
L'examen du fond d’œil, documenté par des photographies en couleurs (fig. 6-1-9) et monochromatiques, montre un tableau assez caractéristique, mais l'angiographie identifie les territoires d'ischémie. Un œdème maculaire et papillaire est souvent présent. L'OCT et l'OCT-angiographie peuvent compléter le bilan vasculaire (fig. 6-1-10) [6], mais sont limitées pour l'exploration plus périphérique.
L'exploration par champ visuel est l’élément d'imagerie de référence pour montrer les atteintes de la voie visuelle (fig. 6-1-11), toutefois l'exploration radiologique reste indispensable [7, 8] avec complément d'exploration parfois utile par échographie Doppler couleur.
L'examen du fond d’œil, documenté par des photographies en couleurs et monochromatiques, peut revêtir plusieurs aspects :
- –
si la papille est normale, il peut s'agir d'une neuropathie optique rétrobulbaire;
- –
si la papille est le siège d'un œdème modéré avec une pâleur totale ou partielle (œdème ischémique), souvent accompagné d'hémorragies péripapillaires en flammèches ou en plaques, l'angiographie rétinienne recherche une perturbation de la vas-cularisation choroïdienne d'aspect sectoriel en rapport avec une maladie de Horton, mais aussi un aspect d’œdème papillaire ou maculaire. L'OCT et l'OCT-angiographie papillaire peuvent souvent être plus rapidement accessibles.
Chez le sujet jeune, il faut évoquer la choriorétinopathie séreuse centrale qui se manifeste par un décollement séreux rétinien maculaire visible à l'examen du fond d’œil et sur les photographies en couleurs et monochromatiques. L'OCT maculaire confirme le décollement séreux rétinien et peut mettre en évidence un décollement de l’épithélium pigmentaire localisé, correspondant au point de fuite. L'angiographie rétinienne et l'OCT-angiographie aident à localiser le point de fuite épithélial.
Chez le myope fort, la présence de néovaisseaux choroïdiens peut être explorée par OCT et OCT-angiographie. L'angiographie à la fluorescéine et celle au vert d'indocyanine gardent quelques indications.
Chez le sujet âgé, les néovaisseaux choroïdiens de la dégénérescence maculaire liée à l’âge (DMLA) sont confirmés par l'angiographie rétinienne et de plus en plus par OCT et OCT-angiographie mettant en évidence des néovaisseaux maculaires de type 1 ou 2 (fig. 6-1-12) [9, 10].
L'examen du fond d’œil permet de poser le diagnostic. En cas de trouble des milieux, l’échographie en mode B identifie soit une simple déchirure de rétine, soit un décollement de la rétine avec bilan de l’état maculaire déterminant le pronostic visuel et l'urgence chirurgicale en cas de soulèvement maculaire.
En fonction du contexte et de la visualisation ou non du fond d’œil, l'imagerie permet souvent un bilan plus précis. L’échographie en mode B est indispensable pour rechercher des déhiscences rétiniennes ou un décollement de rétine. L'angiographie et l'OCT-angiographie peuvent mettre en évidence une rétinopathie diabétique proliférante compliquée de néovaisseaux prérétiniens ou péripapillaires.
Les tumeurs oculaires entraînent une anomalie visuelle soit directement par leur localisation maculaire, soit indirectement par effet secondaire d'une lésion plus périphérique associée à un décollement séreux rétinien ou à un décollement rétinien assez étendu atteignant la région maculaire.
La caractérisation tumorale repose le plus souvent sur l'association rétinographie, angiographie et échographie. En cas de doute clinique l’échographie Doppler couleur apporte l'approche vasculaire nécessaire à la caractérisation d'un mélanome choroïdien (fig. 6-1-13) ou, chez l'enfant, d'un ostéoblastome associé à des calcifications intratumorales visualisées en échographie [11].
Chaque situation d'urgence en ophtalmologie peut bénéficier des différentes techniques d'imagerie pour compléter le bilan de départ, apprécier les lésions associées et assurer un suivi évolutif.
Le recours à l'exploration par examen complémentaire ne se fait qu'après le bilan clinique qui garde la plus grande importance en urgence afin de décider de la pertinence de tel ou tel examen d'imagerie, déterminer l'urgence du complément d'exploration et fixer les priorités des rendez-vous.
Une suture de plaie du globe et un bilan radiologique par scanner sont réalisés en premier le cas échéant, puis les examens plus ophtalmologiques (échographie, OCT, OCT-angiographie, angiographie classique, champ visuel, etc.) sont programmés lors d'une consultation exploratoire ou en aval de la consultation d'urgence en fonction de leur pertinence et de leur disponibilité.
[1] Tuil E, De Nicola R, Mann F, et al. Ophtalmologie en urgence. Issy-les-Moulineaux : Elsevier Masson ; 2014.
[2] Puech M. Imagerie en ophtalmologie. Issy-les-Moulineaux : Elsevier Masson ; 2014.
[3] Fénolland JR, Puech M, Baudouin C, et al. Imaging of the iridocorneal angle in glaucoma. J Fr Ophtalmol 2013 ; 36 : 378‑83.
[4] Pavlin CJ, Sherar MD, Foster FS. Subsurface ultrasound microscopic imaging of the intact eye. Ophthalmology 1990 ; 97 : 244‑250.
[5] Cohen SY, Quentel G, Guiberteau B, et al. Diagnostic angiographique des maladies rétiniennes. Paris : Elsevier ; 2004, 350 p.
[6] Jia Y, Bailey ST, Hwang TS, et al, Quantitative optical coherence tomography angiography of vascular abnormalities in the living human eye. Proc Natl Acad Sci U S A 2015 ; 112 : E2395‑402.
[7] Caignard A, Leruez S, Milea D. Urgences en neuro-ophtalmologie. Journal Français d’Ophtalmologie 2016 ; 39 : 716‑28.
[8] Lemos J, Eggenberger E. Neuro-ophthalmological emergencies. The Neurohospitalist 2015 ; 5 : 223‑33.
[9] Schmidt-Erfurth U, Klimscha S, Waldstein SM, et al. A view of the current and future role of optical coherence tomography in the management of age-related macular degeneration. Eye (Lond) 2017 ; 31 : 26‑44.
[10] Huang D, Jia Y, Rispoli M, et al. Optical coherence tomography angiography of time course of choroidal neovascularization in response to anti-angiogenic treatment. Retina 2015 ; 35 : 2260‑4.
[11] Tranquart F, Berges O, Koskas P, et al. Color Doppler imaging of orbital vessels: personal experience and literature review. J Clin Ultrasound 2003 ; 258‑73.
Les différents types d’imagerie
M. STREHO, S. TICK
La rétinographie et l'angiographie donnent des images rétiniennes « en face » permettant de détecter en urgence les causes d'une anomalie visuelle d'origine rétinienne ou papillaire.
La rétinographie est de réalisation simple, non invasive, facilement disponible. Plusieurs filtres colorés permettent de mettre en évidence les différents éléments de la paroi postérieure (vaisseaux, pigment xanthophylle, pigment, fibres optiques, etc.).
L'angiographie est plus invasive et nécessite une voie veineuse avec injection de produit de contraste (fluorescéine ou vert d'indocyanine). Son apport est très utile pour visualiser la vascularisation de la rétine et de la choroïde sur un champ assez large. Cependant, l’évolution récente de l'OCT-angiographie complète l'exploration de la vascularisation maculaire et papillaire. L'angiographie reste plus performante pour l'exploration périphérique.
Le recours à la rétinographie et à l'angiographie reste très utile en situation d'urgence ou de semi-urgence.
Sa réalisation en situation d'urgence est dépendante de la transparence des milieux. Le recours à des rétinographes non mydriatiques favorise l'accès aux photographies du fond d’œil malgré l'absence de dilatation soit par séclusion pupillaire, soit par nécessité de ne pas provoquer une mydriase médicamenteuse. Ces dispositifs trouvent aussi un intérêt pour la demande d'avis distants dans les protocoles de télémédecine (voir chapitre 2.5.1 ).
Une rétinographie en semi-urgence peut être réalisée avec dilatation pupillaire pour améliorer la qualité de l'image et pour élargir le champ d'investigation vers la rétine périphérique.
L’évolution des appareils permet d’élargir le champ d'acquisition, classiquement de 40° pour les appareils habituels, mais pouvant aller jusqu’à 200° pour les appareils les plus récents. La digitalisation des images par capteurs numériques (capteur charge-coupled device [CCD], ophtalmoscopie laser à balayage, technologie confocale en lumière blanche, etc.) permet des analyses plus spécifiques de certaines couches de la rétine, mais entraîne parfois des limitations de détection de lésions pigmentées ou hémorragiques par rapport aux rétinographies classiques, et peut présenter quelques pièges de lecture en situation d'urgence.
La rétinographie permet souvent de confirmer un diagnostic posé par l'examen du fond d’œil, mais présente surtout l'avantage de documenter la situation clinique dans un but de surveillance évolutive mais aussi parfois dans un but de référence médico-légale.
Dans certains cas, cet examen peut se substituer par sa rapidité et sa facilité d'exécution à l'examen du fond d’œil si celui-ci est difficile voire impossible (patient agité, photophobie, examen chez l'enfant).
Les indications en situation d'urgence sont nombreuses [1].
La rétinographie constitue souvent, dans ce cadre, le premier temps de l'exploration rétinienne complétée par l'angiographie.
Occlusion artérielle ou veineuse : l'examen initial permet l’évaluation de l’étendue de la pathologie occlusive (fig. 6-2-1) avec détection et localisation des hémorragies et des territoires d'ischémie par rapport à la région fovéolaire.
a. Rétinophotographie (CR2 ® , Canon) d'une occlusion de veine centrale de la rétine chez une patiente consultant en urgence pour baisse d'acuité visuelle récente. b. Rétinophotographie (Eidon ® , Centervue) d'une occlusion de branche veineuse rétinienne.
Rétinopathie diabétique : la rétinographie permet de détecter les signes d'une rétinopathie diabétique et d'en apprécier le grade avec documentation des hémorragies rétiniennes, des néovaisseaux prérétiniens et prépapillaires, des exsudats mais aussi des lésions associées, telles qu'une hémorragie du vitré ou un décollement de rétine à prendre en charge rapidement.
Si les médias restent transparents, la rétinographie peut mettre en évidence un décollement de rétine ou des déchirures rétiniennes, des hémorragies intravitréennes modérées ou prérétinienne, un œdème rétinien, maculaire ou périphérique. L'indication médico-légale est importante. Les images documentent utilement un état potentiellement éphémère.
La rétinographie donne l’étendue d'un décollement de rétine et son aspect plus ou moins organisé, elle permet aussi la localisation et la quantification des déhiscences soit au sein de la rétine soulevée, soit isolées avant la prise en charge par photocoagulation ou par chirurgie.
En situation d'urgence, les lésions tumorales sont souvent diagnostiquées soit par leur progression vers la région maculaire, soit par l'apparition d'une complication rétinienne telle qu'un décollement de rétine s'approchant ou atteignant la macula. Quelle que soit la nature de la lésion (mélanome, hémangiome, métastases, etc.), la rétinographie initiale permet de documenter la localisation, l'aspect et l’étendue de la lésion ainsi que les lésions associées (décollement de rétine, exsudats, réaction vitréenne, etc.) (fig. 6-2-2).
a. Décollement de rétine d'origine tumorale sur mélanome choroïdien. Champ réduit ne permettant pas de faire le diagnostic différentiel avec un décollement de rétine rhegmatogène. b. Imagerie grand champ (Optomap Panoramic P200Tx ® , Optos) d'un mélanome choroïdien associé à un décollement de rétine périphérique.
Une rétinographie initiale permet le suivi de l’évolution en cas, notamment, de pathologie au risque évolutif rapide important comme la nécrose rétinienne aiguë ( acute retinal necrosis [ARN]), ou la nécrose rétinienne progressive ( progressive outer retinal necrosis [PORN]), les uvéites postérieures, les foyers infectieux de type toxoplasmose ou toxocarose, etc. (fig. 6-2-3).
Rétinophotographie (Eidon ® , Centervue) de foyers de toxoplasmose d’âges différents dont un s'est réactivé récemment chez un patient de 39 ans consultant en urgence pour scotome d'apparition récente.
L'examen angiographique à la fluorescéine ou au vert d'indocyanine tient toute sa place en situation d'urgence pour analyser la vascularisation rétinienne et choroïdienne notamment en cas de pathologie à point de départ vasculaire ou inflammatoire [1–3]. Sa réalisation est optimisée par l'utilisation de système confocal qui détermine la fluorescence au plan confocal et élimine les plans antérieurs et postérieurs [4].
La réalisation de l'examen nécessite une dilatation pupillaire, une voie veineuse, un minimum de coopération et l'absence de contre-indication. En effet, l'examen peut avoir des incidents et accidents rares (pouvant aller jusqu'au décès par choc anaphylactique ou infarctus du myocarde) qu'il est important de reconnaître et traiter précocement [5]. Un matériel d'urgence est indispensable en salle d'angiographie (encadré 6-2-1). Malgré ces incidents ou accidents rares, l'angiographie est un examen bien toléré dans la très grande majorité des cas. Il convient néanmoins de bien évaluer le rapport bénéfice/risque pour chaque patient notamment en situation d'urgence avec état général détérioré. FLOAT NOT FOUND
Les signes recherchés par l'angiographie sont les occlusions vasculaires veineuses ou artérielles, les territoires d'ischémie, les hémorragies rétiniennes, les vascularites. L'angiographie permet aussi de caractériser les atteintes maculaires par dégénérescence maculaire liée à l’âge (DMLA) et les lésions tumorales du fond d’œil.
L'angiographie est l'examen de choix pour la visualisation et l'analyse dynamique de la vascularisation rétinienne et choroïdienne normale ou pathologique [6–8]. Elle permet de documenter l'anomalie, d’étayer le diagnostic, de faire le suivi évolutif et constitue aussi un élément médico-légal.
Encadré 6-2-1
Matériel d'urgence à avoir en salle d'angiographie
-
Bouteille d'oxygène et ses accessoires (vérifier régulièrement leur entretien)
-
Lit de repos avec plan dur
-
Stéthoscope et tensiomètre
-
Ampoules de corticoïdes (Soludecadron ® de 4 et de 20 mg)
-
Adrénaline à 1 %
-
Atropine 1 % ® , Lasilix ® , Adalate ® , Ventoline ® , Bécotide ® , Glucagon ® , Isuprel ® , Bricanyl ® , Primpéran ®
-
Seringues adaptées
-
Soluté de remplissage : flacons de Ringer lactate Aguettant ® , glucose (5 à 10 %), éthyl amidon Élohès ®
-
Kit de pose de perfusion intraveineuse (avec pied à sérum)
-
Téléphone avec ligne directe permettant de joindre les services d'urgence
Les principales indications sont les occlusions vasculaires (veineuse, artérielle, mixtes) et les anomalies vasculaires liées à l'hypertension artérielle ou au diabète (fig. 6-2-4 et vidéo 6-2-1). Devant une hémorragie maculaire, l'angiographie permet d'identifier une néovascularisation (DMLA, myopie, etc.; fig. 6-2-5 à 6-2-7 et vidéo 6-2-2). Les autres pathologies vasculaires comme la neuropathie optique ischémique antérieure aiguë, les télangiectasies maculaires, etc., peuvent aussi nécessiter une exploration angiographique (fig. 6-2-8).
Patient consultant en urgence pour un scotome paracentral d'apparition brutale. La rétinographie (CR2 ® , Canon) retrouve un hématome sous-rétinien inféromaculaire. L'angiographie à la fluorescéine retrouve une hyperfluorescence associée à une diffusion (a) mais c'est l'angiographie au vert d'indocyanine (Spectralis ® , Heidelberg Engineering) qui met en évidence la présence de vasculopathie polypoïdale (b, c).
Patiente consultant en urgence pour une amputation de l'hémi-champ visuel. a. La rétinographie (CR2 ® , Canon) retrouve un œdème papillaire sur le secteur supérieur. L'angiographie à la fluorescéine (Spectralis ® , Heidelberg Engineering) retrouve un important retard de remplissage choroïdien (apparaissant noir) (b) et une hyperfluorescence papillaire sur les temps tardifs (c). Cela correspond à un tableau typique de NOIAA avec ischémie choroïdienne en rapport avec une maladie de Horton à traiter en urgence.
Patient consultant en urgence pour une baisse d'acuité visuelle brutale. a. La rétinographie (CR2 ® , Canon) retrouve un hématome étendu intéressant le pôle postérieur et s’étendant en inférieur. L'angiographie à la fluorescéine (Spectralis ® , Heidelberg Engineering) retrouve un masquage en rapport avec l'hématome (b), mais sur les temps tardifs apparaît, sur le bord supérieur de l'hématome, une hyperfluorescence diffusant aux temps tardifs en rapport avec des néovaisseaux actifs (c).
Patient consultant en urgence pour une baisse d'acuité visuelle brutale. a. La rétinographie (CR2 ® , Canon) retrouve une hémorragie de la zone maculaire. b. Le cliché (HRA, Heidelberg) montre l'aspect de marcoanévrisme maculaire.
L'angiographie est l'examen de choix pour étayer le diagnostic d'uvéite postérieure. On pourra ainsi visualiser les vascularites, œdème maculaire et papillaire et autres taches de choroïdites.
L'angiographie à la fluorescéine et/ou au vert d'indocyanine complète le bilan d'une tumeur de découverte fortuite ou symptomatique dans un cadre d'urgence (fig. 6-2-9). Elle apporte des arguments diagnostiques, comme la vascularisation intrinsèque, pour déterminer son potentiel bénin ou malin souvent en complémentarité avec l'examen échographique et par échographie Doppler.
Patiente consultant en urgence pour une anomalie visuelle. a. La gêne est liée à un décollement séreux rétinien rétrofovéolaire dont l'origine est retrouvée en rétinographie (CR2 ® , Canon) montrant une lésion pigmentée en supérieur avec pigment orange de surface. b. L'angiographie à la fluorescéine (Spectralis ® , Heidelberg Engineering) retrouve aux différents temps une hyperfluorescence intratumorale s'imprégnant avec présence de pin points fortement évocateur de mélanome choroïdien.
Devant une baisse d'acuité visuelle dans un contexte traumatique, l'angiographie explore la vascularisation rétinienne, notamment maculaire avec recherche d'une éventuelle complication œdémateuse ou traumatique (rupture de la membrane de Bruch ± néovascularisation). L'angiographie a également un rôle de documentation dans les cas d'agression et/ou d'accident du travail.
La facilité de mise en œuvre des rétinographies est un avantage en situation d'urgence avec accès conservé au fond d’œil. Le complément par l'exploration angiographique peut se faire dans un second temps à la recherche soit d'anomalies vasculaires rétiniennes, soit de pathologies pariétales. L'objectif en urgence est de caractériser l’étiologie de la baisse d'acuité visuelle, de quantifier les atteintes rétiniennes et de guider le traitement.
[1] Tuil E, De Nicola R, Mann F, Milea D, et al. Ophtalmologie en urgence. Issy-les- Moulineaux : Elsevier Masson ; 2014, 444 p.
[2] Nghiêm-Buffet S, Pérol J, Michée S, Cohen SY, et al. Rétinographies, clichés en autofluorescence et angiographies : technique et interprétation. Encycl Méd Chir (Elsevier, Paris). Ophtalmologie, 21‑045-A-10. 2011.
[3] Puech M. Imagerie en ophtalmologie. Issy-les-Moulineaux : Elsevier Masson ; 2014, 496 p.
[4] Schmitz-Valckenberg S, Holz FG, Bird AC, et al. Fundus autofluorescence imaging : review and perspectives. Retina 2008 ; 28 : 385‑409.
[5] Yannuzi LA, Roher KT, Tindel J, et al. Fluorescein angiography complication survey. Ophthalmology 1986 ; 93 : 611‑7.
[6] Cohen SY, Quentel G, Guiberteau B, et al. Diagnostic angiographique des maladies rétiniennes. Paris : Elsevier ; 2004, 350 p.
[7] Coscas G, Coscas F, Zourdani A. Atlas d’angiographie en indocyanine : confrontations Fluo-ICG-OCT. BSOF 2004. Paris : Elsevier ; 2005, 383 p.
[8] Cohen SY, Quentel G, Meunier I. Angiographie infrarouge au vert d’indocyanine. Paris : Elsevier ; 2001, 250 p.6.2.2. OCT, OCT-angiographie et items d’urgence ophtalmologiques
B. HAOUCHINE
La tomographie par cohérence optique ( optical coherence tomography [OCT]) est une technique d'imagerie non invasive et rapide souvent facilement accessible en urgence. C'est un examen de choix dans les urgences maculaires, en particulier quand la baisse de l'acuité visuelle est associée à des métamorphopsies ou à des micropsies. Dans les autres cas, elle permet d’éliminer une origine rétinienne d'une baisse de l'acuité visuelle. L'OCT-angiographie est utile dans les anomalies vasculaires maculaires le plus souvent par dégénérescence maculaire liée à l’âge (DMLA) permettant un diagnostic immédiat, une prise en charge rapide et un suivi évolutif.
L'OCT est l'examen de choix dans le diagnostic, la quantification et la surveillance de l’œdème maculaire (fig. 6-2-10) qui est une cause fréquente de baisse d'acuité visuelle en situation d'urgence.
a. Cliché infrarouge d'un syndrome d'irvine-Gass survenu 10 semaines après une chirurgie de la cataracte. b. Coupe OCT de 9 mm montrant un œdème maculaire modéré avec un petit décollement séreux rétrofovéolaire associé.
Le diagnostic et le suivi des œdèmes maculaires, quelles que soient les étiologies (rétinopathie diabétique, DMLA, occlusions vasculaires rétiniennes, uvéites, syndrome d'Irvine-Gass, etc.), reposent principalement sur l'OCT [1]. Cette dernière permet de renseigner précisément sur l’épaisseur de la rétine, autorisant une quantification de l’œdème. Souvent un œdème maculaire diffus s'associe à des logettes intrarétiniennes. L'OCT permet aussi d'apprécier l’évolution de l’œdème maculaire après traitement (médical ou post-chirurgical). L'OCT-angiographie permet souvent d'identifier les territoires de mauvaise perfusion maculaire ou les micro-anévrismes associés à l’épaississement.
L'OCT permet une visualisation aisée des décollements séreux rétiniens (DSR) maculaires même minimes. Souvent elle permet également de visualiser le point de fuite sous forme d'un microsoulèvement de l’épithélium pigmentaire [2]. Un décollement de l’épithélium pigmentaire plus étendu peut être également associé (fig. 6-2-11).
a. Cliché couleur montrant la présence d'une bulle de décollement séreux rétinien maculaire (coupe OCT = flèche en pointillé). Une petite altération de l’épithélium pigmentaire est également retrouvée en temporal de la macula (flèche). b. Cliché en autofluorescence avec meilleure visualisation de l'altération épithéliale (flèche). c. Cliché OCT montrant un aspect de bulle de décollement séreux rétinien, ainsi que le petit décollement de l’épithélium pigmentaire temporomaculaire en rapport avec le point de fuite. Une petite adhérence de la rétine externe est également retrouvée en regard du décollement de l’épithélium pigmentaire (flèche).
La présence d'un épaississement choroïdien est également un signe important du diagnostic de choriorétinopathie séreuse centrale (CRSC). L'examen doit éliminer la présence de néovaisseaux choroïdiens mieux visibles en OCT-angiographie. Ces derniers se voient plus souvent sur des sujets atteints de CRSC chronique, volontiers plus âgés, sous forme d'une élévation irrégulière du plan de l’épithélium pigmentaire appelée flat Iregular pigment epithelium detachment (FIPED).
Les hémorragies rétiniennes peuvent avoir plusieurs origines comme la rétinopathie diabétique proliférante ou les macro-anévrismes artériels rétiniens. Plus rarement, elles sont en rapport avec une rétinopathie de Valsalva, une hémopathie, une occlusion de branche veineuse, ou d'origine traumatique.
L'OCT peut constituer une aide précieuse pour la conduite à tenir en localisant le siège de l'hémorragie (pré-, intra- ou sous-rétinien) et son mécanisme.
L'OCT-angiographie apporte les informations vasculaires sur la région maculaire avec par exemple détection de la rétinopathie diabétique associant des zones de réduction de flux et des micro-anévrismes rétiniens (fig. 6-2-12)
L'exploration par OCT-angiographie permet de détecter des zones de réduction de flux vasculaire témoignant de l'ischémie rétinienne et montrant aussi les conséquences de cette ischémie par apparition de micro-anévrismes rétiniens.
Dans la rétinopathie de Valsalva, l'hémorragie est superficielle, provoquée par la rupture d'un capillaire, secondaire à une augmentation brutale de la pression veineuse (fig. 6-2-13).
a. Cliché couleur d'une hémorragie maculaire d'apparition spontanée. Une petite hémorragie est visible sur le bord papillaire. b. L'OCT retrouve une hyperréflectivité superficielle intrarétinienne assez dense donnant un masquage partiel de la rétine externe.
Les causes de néovascularisation pouvant être à l'origine d'une baisse rapide de l'acuité visuelle sont nombreuses (DMLA, myopie forte, stries angioïdes, etc.).
L'OCT permet de mettre en évidence les néovaisseaux, ainsi que leurs conséquences exsudatives. En dehors des néovaisseaux de type 1 de la DMLA (occultes), qui donnent un aspect d’élévation irrégulière de l’épithélium pigmentaire, les néovaisseaux sont caractérisés par un épaississement fusiforme hyper-réflectif du complexe épithélium pigmentaire/choriocapillaire. Au sein de cette hyper-réflectivité inhomogène, on retrouve, selon les étiologies, une interruption plus ou moins large de l'apparence normale de l’épithélium pigmentaire [3].
L'OCT-angiographie confirme assez souvent l'origine néovasculaire d'une exsudation en visualisant un lacis néovasculaire qui permet d’éviter le recours à une angiographie rétinienne (fig. 6-2-14).
a. Photographie couleur montrant de rares drusen (coupe OCT = flèche en pointillé) et un petit épaississement inféromaculaire exsudatif sans hémorragie (flèche). b. L'OCT-angiographie retrouve un lacis néovasculaire typique (flèche). c. Sur la coupe OCT en mode B, les néovaisseaux forment une lésion en dôme (flèche), hyper-réflective, s'engrenant dans la rétine externe avec un décollement séreux rétrofovéolaire.
Dans les trous maculaires, l'OCT est l'examen de choix [4] en cas de scotome central ou d'aspect de trou à l'examen du fond d’œil. L'OCT retrouve souvent une déhiscence centrale de pleine épaisseur (fig. 6-2-15).
a. Sur le cliché en lumière infrarouge, on retrouve un aspect de trou avec un aspect sombre correspondant à l’œdème des bords. b. Coupe horizontale montrant un trou de pleine épaisseur de stade 2 avec un décollement périfovéolaire encore adhérant à l'opercule.
Le trou peut être d'origine traumatique pouvant accompagner d'autres signes post-contusifs comme un œdème ischémique ou des hémorragies rétiniennes.
En dehors d'un contexte traumatique, le trou maculaire peut être d'apparition assez brutale probablement à l'occasion d'un décollement « aigu » du vitré postérieur. L'OCT permet une bonne appréciation de la relation vitréomaculaire.
L'examen par OCT permet de confirmer la présence d'une membrane épirétinienne suspectée à l'examen du fond d’œil. Il permet également de quantifier l’épaississement de la rétine centrale (secondaire à cette membrane) et l'apparition d'un œdème maculaire cystoïde associé. Depuis l'avènement de l'OCT, l’épaisseur de la macula fait partie des critères de décision préopératoire, même si la relation entre l'acuité visuelle et l’épaississement maculaire est faible.
L'OCT-angiographie montre la modification du trajet des vaisseaux rétiniens superficiels.
L'OCT identifie l'origine d'une baisse d'acuité visuelle qui peut être œdémateuse ou ischémique.
Qu'elles soient centrales, ou de branche, les occlusions veineuses peuvent être à l'origine d'un œdème maculaire responsable d'une baisse de l'acuité visuelle plus ou moins rapide et plus ou moins importante. L'OCT permet le diagnostic et l’évaluation objective de cet œdème maculaire [5] et l'OCT-angiographie permet de détecter les zones de réduction de flux vasculaire (fig. 6-2-16).
L'occlusion veineuse avec bas débit artériel transitoire est une forme particulière d'occlusion veineuse : de survenue brutale, ces formes sont reconnaissables dès l'examen clinique par un blanchiment « périveinulaire » avec des hémorragies rétiniennes et une certaine dilatation veineuse. L'OCT retrouve dans ces cas une hyper-réflectivité de la couche nucléaire interne traduisant l'ischémie rétinienne.
Si, dans les formes typiques, l'OCT n'est pas indispensable au diagnostic d'occlusion artérielle, elle peut s'avérer très utile dans les formes transitoires pour lesquelles le diagnostic est moins facile. Le blanchiment rétinien est très peu visible à l'examen du fond d’œil, mais l’épaississement ischémique paraît plus évident en OCT (fig. 6-2-17). L'OCT-angiographie met en évidence l'occlusion ou la forte réduction du flux vasculaire artériel.
a, b. Clichés en couleurs et en lumière verte montant un œdème rétinien donnant un aspect blanc laiteux dans le territoire de l'artère temporale supérieure de la rétine. c. La coupe OCT à 45° montre un épaississement rétinien sur la moitié supéronasale avec hyperréflectivité caractéristique d'une ischémie rétinienne localisée à certaines couches internes de la rétine.
L'OCT est devenue un outil indispensable dans le diagnostic des complications maculaires des maladies inflammatoires [6].
Elle est utile dans les œdèmes accompagnant les uvéites antérieures intermédiaires ou postérieures. D'autres signes choriorétiniens peuvent être visualisés en OCT : interruption transitoire de la réflectivité de l'ellipsoïde dans le multiple evanescent white dot syndrome (MEWDS; fig. 6-2-18); décollements séreux assez caractéristiques retrouvés dans la maladie de Vogt-Koyanagi-Harada; néovaisseaux choroïdiens d'origine inflammatoire, etc.
a. Image infrarouge typique de taches blanches atteignant la macula. b. Le cliché OCT montre un épaississement maculaire minime ainsi qu'une hyper-réflectivité sous-fovéolaire (flèches) masquant la continuité de la réflectivité des photorécepteurs (ellipsoïde) et sans interruption de la limitante externe.
Dans les œdèmes papillaires, l'OCT peut être utile pour différencier les sujets normaux de ceux avec une saillie papillaire pouvant présenter un épaississement diffus ou localisé de la couche des fibres optiques péripapillaires.
Le diagnostic différentiel se fait avec des drusen de la papille en s'aidant de l'examen échographique.
Les décollements concernés sont les décollements de rétine à bas bruit donnant un soulèvement maculaire limité pouvant simuler la présence d'un volumineux DSR.
Dans les décollements importants, l'OCT permet la visualisation de la rétine décollée, mais pas des structures postérieures [7], la fenêtre d'analyse étant limitée à 2,5 à 3 mm.
L'examen par OCT en situation d'urgence donne une approche de très haute résolution sur la région maculaire avec possibilité de réaliser un bilan anatomique des couches pariétales postérieures, d'identifier l’étiologie de la baisse d'acuité visuelle et de réaliser un suivi évolutif. Si cet examen est disponible, il contribue significativement à la démarche diagnostique des items d'urgence lorsqu'il est indiqué.
L'apparition de l'OCT-angiographie permet une approche plus précise de la vascularisation maculaire ou papillaire sans injection et avec une importante disponibilité en situation d'urgence.
L'OCT et l'OCT-angiographie sont cependant impossibles à réaliser en cas de trouble des milieux ou de mauvaise fixation et sont limitées pour l'accès à la périphérie rétinienne.
[1] Pournaras JA, Erginay A, Lazrak Z, et al. Spectral domain optical coherence tomography in diabetic macular edema. Ophthalmic Surg Lasers Imaging 2009 ; 40 : 548‑53.
[2] Nicholson B, Noble J, Forooghian F, et al. Central serous chorioretinopathy : update on pathophysiology and treatment. Surv Ophthalmol 2013 ; 58 : 103‑26.
[3] Schmidt-Erfurth U, Klimscha S, Waldstein SM, et al. A view of the current and future role of optical coherence tomography in the management of age-related macular degeneration. Eye (Lond) 2017 ; 31 : 26‑44.
[4] Duker JS, Kaiser PK, Binder S, et al. The International Vitreomacular Traction Study Group classification of vitreomacular adhesion, traction, and macular hole. Ophthalmology 2013 ; 120 : 2611‑9.
[5] Girmens JF, Glacet-Bernard A, Kodjikian L, et al. Management of macular edema secondary to retinal vein occlusion. J Fr Ophtalmol 2015 ; 38 : 253‑63.
[6] Grajewski RS, Boelke AC, Adler W, et al. Spectral-domain optical coherence tomography findings of the macula in 500 consecutive patients with uveitis. Eye (Lond) 2016 ; 30 : 1415‑23.
[7] Lee SY, Joe SG, Kim JG, et al. Optical coherence tomography evaluation of detached macula from rhegmatogenous retinal detachment and central serous chorioretinopathy. Am J Ophthalmol 2008 ; 145 : 1071‑6.
M. STREHO, G. KASWIN
L’échographie oculaire en situation d'urgence est très utile en cas de trouble des milieux transparents avec un examen peu invasif. Son accès à la périphérie du globe complète l'examen clinique et l'examen par OCT.
L'exploration échographique en urgence permet de différencier les structures intra-oculaires (vitré, hyaloïde postérieure, rétine, choroïde, etc.; tableau 6-2-1) et de réaliser une biométrie.
| Types d'analyses | Indications |
|---|---|
| Troubles des milieux | Taie, hyphéma, cataracte totale, hémorragie intravitréenne, etc. |
| Analyse du vitré | Décollement postérieur du vitré, synchisis étincelant, hyalite, etc. |
| Analyse de la rétine | Rapports vitréorétiniens, déchirure, décollement de rétine, rétinoschisis |
| Analyse maculaire | Épaississement, œdème maculaire, trou maculaire, membrane épimaculaire, DMLA, etc. |
| Analyse de la choroïde | Décollement choroïdien, tumeurs, etc. |
| Analyse de la sclère | Épaississement, amincissement, sclérite |
| Tumeurs intra-oculaires | Type, taille, localisation, extension, etc. |
L’échographie peut être très utile en cas de traumatisme, de complication chirurgicale, de processus infectieux ou inflammatoire ou bien en cas de signes fonctionnels (baisse d'acuité visuelle, phosphènes, myodésopsies, etc.) avec l'avantage de proposer aussi un accès aux structures rétro-oculaires.
L'examen commence généralement par la sonde de 10 MHz qui offre une fenêtre d'examen large [1–15]
1 L'article de Jansson et Kock [6] est fondamental pour la comprehension du principe de l'echographie et celui de Bronson [8] propose une description princeps de l'echographie en mode B de contact.
, souvent réalisable en urgence à l'exception de traumatisme avec plaie du globe pour laquelle l'examen est réalisable après la suture chirurgicale.
La réalisation d'une biométrie en mode B lors du premier bilan permet une aide au calcul de l'implant en cas de cataracte, permet de juger la position du cristallin et donne aussi une référence de longueur axiale en cas de risque dévolution vers une atrophie oculaire.
En cas de lésion pariétale, un complément d'examen par la sonde de 20 MHz offre une résolution supérieure et donc une analyse plus fine de la taille et des caractéristiques échographiques de la lésion.
En cas de traumatisme à globe fermé, l’échographie joue un rôle essentiel dans l’évaluation des lésions oculaires ou orbitaires au cours du bilan initial puis dans le suivi post-thérapeutique.
Les lésions sont souvent multiples et complexes rendant parfois difficile l'interprétation de l’échographie (hémorragies intravitréennes, membranes vitréennes denses, décollement de rétine et/ou décollement choroïdien). Cependant, cet examen peu invasif peut être opportunément renouvelé en aval de l'urgence pour suivre l’évolution.
L’échographie permet de rechercher les corps étrangers intra-oculaires qui apparaissent le plus souvent comme une hyper-échogénicité avec cône d'ombre postérieur (fig. 6-2-19). En cas de corps étranger végétal, le diagnostic est parfois plus difficile.
Coupe échographique d'un corps étranger de tonalité métallique associé à un épaississement pariétal en rapport avec un hématome secondaire dans un contexte traumatique à la sonde de 20 MHz. L’échographie permet de localiser exactement le corps étranger, et d'en apprécier la taille, la nature et les dégâts pariétaux associés.
La localisation échographique du corps étranger est très utile afin de préparer son extraction chirurgicale.
Parmi les infections oculaires, l'endophtalmie représente une urgence diagnostique et thérapeutique. L’échographie est un examen indispensable dans cette indication et permet l’étude du segment postérieur en période postopératoire. Il est souvent inaccessible à l'examen clinique par un important trouble du vitré. En urgence, le bilan échographique ne doit pas retarder la prise en charge thérapeutique mais permet le bilan lésionnel initial (hyalite, épaississement pariétal, décollement ciliochoroïdien, résidus cristalliniens). En aval, pour le suivi évolutif, le degré de réorganisation du vitré est analysé recherchant d’éventuelles complications (décollement de rétine, phtyse).
L’échographie présente aussi l'avantage d'une approche des lésions rétro-oculaires dans le cadre d'un bilan d'urgence. Elle permet d'explorer des anomalies identifiables comme des tumeurs orbitaires ou des anomalies vasculaires (varice orbitaire, hémangiome, etc.). Là, un complément par imagerie radiologique est malgré tout indispensable.
L’échographie oculaire permet l'analyse ad hoc des tuniques du globe oculaire.
L'analyse du vitré permet d’étudier les rapports du vitré avec la paroi et de rechercher un décollement postérieur du vitré partiel ou étendu. Cette situation clinique est un des motifs fréquents d'exploration échographique en urgence en cas de perte de transparence des milieux.
Lorsque le vitré est décollé, la hyaloïde apparaît comme une membrane très fine et très mobile avec les mouvements du globe (fig. 6-2-20 et vidéo 6-2-3). L'anneau prépapillaire décollé se traduit par la présence d'une densification échogène mobile en regard du pôle postérieur.
Visualisation de la hyaloïde postérieure décollée et de nombreux échos intravitréens diffus signant l'hémorragie.
L’échographie permet également d’évaluer l'aspect interne du vitré. L'hémorragie du vitré se traduit par de fins échos vitréens disséminés dans le gel vitréen ou en arrière de la hyaloïde postérieure (hémorragie rétro-hyaloïdienne). Ils s'organisent par la suite en amas ou travées plus denses prédominant en inférieur par sédimentation (fig. 6-2-21 et vidéo 6-2-4). En cas de hyalite, les échos intravitréens sont de taille variable et disséminés (fig. 6-2-22). Dans certains cas, ils prennent un aspect organisé créant des membranes intravitréennes plus ou moins cloisonnantes. Ils se dirigent parfois vers un épaississement pariétal comme un foyer de choriorétinite (fig. 6-2-23).
On identifie une accumulation hématique en inférieur.
Les échos intravitréens sont diffus et de taille variable mais sans véritable organisation en travée.
Hyalite avec traction vitréenne sur un épaississement pariétal correspondant à un foyer de choriorétinite.
L'examen échographique peut mettre en évidence des zones de traction vitréorétinienne avec recherche de déchirures rétiniennes (fig. 6-2-24) d'aspect hyperéchogène rattachées à la paroi. Un opercule rétinien apparaît comme une ponctuation échogène, flottant dans le vitré à faible distance de la paroi et relié à la hyaloïde postérieure, mais le trou rétinien est souvent difficile à identifier.
Coupe échographique d'une déchirure avec soulèvement des bords avec une sonde de 20 MHz.
Un décollement de rétine apparaît comme une membrane échogène souvent ondulées et mobile qui se raccorde à la paroi en formant un angle aigu. Elle peut se diriger vers la papille. L’échographie permet de préciser la localisation et l’étendue du décollement de rétine, de rechercher la présence de déchirures associées (fig. 6-2-25), ou d’évaluer une prolifération vitréorétinienne (rétine épaissie, peu mobile avec plis). L'aspect d'un décollement de rétine post-traumatique peut être encore mobile par saccades, mais il est parfois rapidement figé (fig. 6-2-26).
Coupe échographique d'un décollement de rétine centré sur la déhiscence avec une sonde de 20 MHz. À noter l'opercule rétinien avec adhérence vitréorétinienne probablement responsable du décollement de rétine rhegmatogène.
Aspect échographique d'un décollement de rétine rapidement figé et organisé avec une rétine épaissie se dirigeant vers la papille.
L’échographie permet aussi de rechercher la présence d'un épaississement pariétal ou d'une tumeur sous un décollement de rétine exsudatif (fig. 6-2-27).
Coupe échographique d'un décollement de rétine exsudatif dont l'origine est un mélanome choroïdien avec une sonde de 10 MHz.
Les processus inflammatoires oculaires peuvent s'accompagner d'un épaississement choroïdien plus ou moins diffus selon la cause et l'intensité de l'inflammation (sclérite postérieure, uvéite postérieure, endophtalmie, etc.).
Dans un contexte de traumatisme, un épaississement pariétal diffus avec une réduction de la longueur axiale par rapport à l’œil controlatéral peut faire suspecter un début d’évolution vers une atrophie oculaire avec épaississement choroïdien diffus.
Un épaississement plus localisé peut orienter le diagnostic vers une tumeur soit hypoéchogène (mélanome choroïdien avec excavation choroïdienne), soit hyperéchogène (hémangiome choroïdien), soit très hyperéchogène (calcification pariétale ou ostéome).
Un décollement choroïdien est assez fréquent en cas de traumatisme. Il apparaît comme une membrane peu mobile, à paroi régulière, plus épaisse que la rétine et restant à distance de la papille. Il existe souvent plusieurs poches de décollement choroïdien pouvant se réunir au centre de la cavité vitréenne. Le contenu peut être hypoéchogène en cas de simple décollement choroïdien ou échogène et hétérogène en cas d'hématome choroïdien (fig. 6-2-28).
Coupe échographique d'un décollement choroïdien séreux dans un contexte traumatique associé à une hémorragie intravitréenne avec une sonde de 10 MHz.
L'examen échographique apporte une approche en coupe de la papille et du nerf optique rétro-oculaire avec possibilité de faire un diagnostic pathognomonique de calcifications papillaires signant la présence de drusen de la papille. Un œdème papillaire donne un épaississement papillaire plus étendu autour de la papille (fig. 6-2-29) et l'approche du nerf optique rétro-oculaire peut détecter des modifications de son échostructure ou la présence d'une dilatation des gaines du nerf optique soit congénitale, soit dans le cadre d'une hypertension intracrânienne nécessitant une exploration radiologique.
Aspect d’épaississement papillaire et péripapillaire dans le cadre d'une neuropathie optique ischémique antérieure aiguë.
La biométrie guidée par le mode B permet dans tous les cas une mesure de longueur axiale par visualisation directe des interfaces en deux dimensions, même en cas de perte importante de la transparence intra-oculaire[16].
Le mode B permet d'ajuster, sous contrôle de l'imagerie, les curseurs de mesure ( callipers) afin de mesurer précisément la longueur axiale (fig. 6-2-30). Cette mesure est utile en cas de chirurgie de cataracte post-traumatique. Elle est aussi un élément important du dossier médical, afin de surveiller une évolution vers une atrophie du globe dans le cadre de certains processus traumatiques, inflammatoires ou infectieux. L'autre avantage de la biométrie en mode B est de pouvoir vérifier l’état du cristallin, sa position par rapport au plan irien et l'intégrité de ses contours avec parfois détection d'une plaie de la cristalloïde postérieure. Celle-ci oriente la stratégie chirurgicale d'aval immédiat en cas d'opération de la cataracte.
Coupe échographique horizontale axiale permettant la mesure de la longueur axiale avec une sonde de 10 MHz dans un contexte traumatique avec luxation postérieure du cristallin situé dans la cavité vitréenne.
L’échographie oculaire en mode B est un examen de réalisation simple et non invasif particulièrement utile dans de nombreuses situations d'urgence. L'analyse du segment postérieur (vitré, paroi, nerf optique) en cas de troubles des milieux et une mesure fiable de la longueur axiale permettent de guider le clinicien dans la prise en charge et le suivi des patients.
[1] Mundt GH, Hughues WE. Ultrasonics in ocular diagnosis. Am J Ophthalmol 1956 ; 41 : 488‑98.
[2] Oksala A, Lehtinen A. Diagnostic value of ultrasonics in ophthalmology. Ophthalmologica 1957 ; 134 : 387‑95.
[3] Ossoinig KC, Steiner H. Standardization in ultrasonoc diagnosis : a tissue model for the diagnosis of intraocular tumors. In : Buschmann W, Hildebrandt I. Eds. Diagnostica ultrasonica in ophtalmologia. Berlin : Proceedings of SIDUO ; 1964.
[4] Gernet H. Biometrie des Auges mit Ultraschall. Klin Monatsbl Augenheilkd 1965 ; 146 : 863‑4.
[5] Baum G, Greenwood I. The application of ultrasonic locating techniques to ophthalmology : theoric considerations and acoustic properties of ocular media : Part 1. Reflective properties. Am J Ophthalmol 1958 ; 46 : 319‑29.
[6] Jansson F, Kock E. Determination of the velocity of ultrasound in the human lens and vitreous. Acta Ophthalmol 1962 ; 40 : 420‑33.
[7] Coleman DJ, Lizzi FL, Jack RL. Ultrasonography of the eye and orbit. Philadelphia : Lea and Febiger ; 1977.
[8] Bronson NR. Development of a simple B-scan ultrasonoscope. Trans Am Ophthalmol Soc 1972 ; 70 : 365‑408.
[9] Pavlin CJ, Sherar MD, Foster FS. Subsurface ultrasound microscopic imaging of the intact eye. Ophthalmology 1990 ; 97 : 244‑50.
[10] Puech M, Saied A, Lefebvre F. High resolution ultrasound imaging of human macular structures in vitro. Invest Ophthalmol Vis Sci 1998 ; 39S : 2723.
[11] Shammas HJ, Dunne S, Fisher YL. Three-dimensional ultrasound tomography of the eye. Ontario : Eden Mills ; 1999.
[12] Poujol J. Échographie en ophtalmologie. Paris : Masson ; 1994.
[13] Byrne SF, Green RL. Ultrasound of the eye and orbit. Mosby ; 2002.
[14] Bergès O, Siahmed K. Échographie de l’oeil et de l’orbite. Encycl Méd Chir (Elsevier, Paris). Ophtalmologie, 21‑062-A-10. 2004.
[15] Bergès O, Torrent M. Échographie de l’oeil et de l’orbite. Paris : Vigot ; 1986.
[16] Bergès O, Puech M, Assouline M, et al. B-mode-guided vector A-mode versus A-mode biometry to determine axial length and intraocular lens power. J Cataract Refract Surg 1998 ; 24 : 529‑535.
P. KOSKAS, O. BergÈS
La technique d'exploration par échographie Doppler utilise les ultrasons et se pratique avec un appareil d’échographie polyvalent équipé d'un module spécifique d’échographie Doppler capable de détecter les flux vasculaires. L'apport de l’échographie Doppler en urgence est utile dans certaines situations cliniques avec possibilité d'explorer soit le globe oculaire, soit l'orbite. Cet examen est le prolongement de l'examen échographique classique en mode B, il aide à mieux définir certains aspects morphologiques (comme la nature de membranes du segment postérieur ou les masses choroïdorétiniennes du segment antérieur ou de l'orbite) et fournit une appréciation hémodynamique instantanée de la circulation oculo-orbitaire.
La sonde utilisée pour l'exploration oculaire est une sonde de haute fréquence [1], à large bande passante (8-18 MHz).
Pour réussir un tel examen, la connaissance anatomique des vaisseaux principaux est nécessaire – artère centrale de la rétine (ACR), artères courtes ciliaires postérieures (ACCP), artère ophtalmique (AO) et veine ophtalmique supérieure (VOS) (fig. 6-2-31) – ainsi que celle de la pathologie orbitaire.
a. Veine ophtalmique supérieure normale. b. Veine ophtalmique normale. c. Vaisseaux centraux de la rétine : spectre normal. d. Artère courte ciliaire postérieure médiale : spectre normal.
Il existe des préréglages de l'appareil avec possibilité d'ajuster manuellement certains paramètres en cours d'examen (échelles de vitesses, gains des Doppler couleur et pulsé, correction de l'angle de tir Doppler) pour obtenir des images et des spectres hémodynamiques de qualité.
En urgence, l’échographie Doppler couleur (EDC) prouve sa grande pertinence dans plusieurs situations cliniques.
En cas d'importante hémorragie intravitréenne, la présence d'une membrane intra-oculaire décollée de la paroi postérieure avec un aspect épais ou peu mobile est difficile à caractériser en échographie classique (patient diabétique, hyphéma, organisation du vitré). L’échographie Doppler peut faire le diagnostic de décollement de rétine par détection du flux vasculaire rétinien (fig. 6-2-32) [2].
Patient présentant une importante hémorragie intravitréenne avec doute sur un décollement de rétine difficile à voir en mode B, compte tenu de l'hyphéma postérieur (a), mais bien montré par échographie Doppler couleur avec codage coloré des flux décollés en continuité avec les vaisseaux centraux de la rétine (b).
Les symptômes classiques sont l'association d'une anomalie visuelle liée à l'hémorragie intravitréenne ou au décollement de rétine. Il est capital de savoir si des vaisseaux intralésionnels sont présents, notamment pour des masses peu pigmentées ou achromes. La présence de flux vasculaire intralésionnel peut orienter vers le diagnostic de mélanome choroïdien [3] par opposition à un simple hématome pariétal (fig. 6-2-33).
a, b. Masse mélanique périphérique, hypervascularisée en Doppler couleur. c, d. Homme de 42 ans avec une masse grisâtre au fond d’œil : mélanome choroïdien.
L’échographie Doppler peut faire le diagnostic différentiel entre un rétinoblastome (fig. 6-2-34) [4] et des pseudo-gliomes comme la vitréorétinopathie exsudative familiale (VREF), le décollement ou pli congénital de la rétine, la persistance de la vascularisation fœtale (fig. 6-2-35) [5] ou une maladie de Coats.
Abondante hémorragie du segment antérieur et du segment postérieur chez un garçon de 10 mois avec masse hétérogène contenant des calcifications (a) et un décollement de rétine total authentifiés par l’échographie Doppler couleur (b) faisant le diagnostic de rétinoblastome.
Fillette de 1 mois avec microphtalmie OG et cataracte, adressée pour bilan préopératoire avec différence de longueur axiale entre les deux yeux et caractère nettement remanié et aspect de persistance de la vascularisation fœtale (PVF), identifiable en mode B par l'image issue de la capsule postérieure du cristallin en pointe, et parfaitement visible en totalité grâce aux modes couleur et énergie (a). Au sein du canal de Cloquet, on retrouve une artère hyaloïde perméable avec un flux de faible vélocité sans flux diastolique, avec un index de résistance = 1,00 (b).
En cas de masse palpébrale, chez le nourrisson, il est possible de vérifier s'il s'agit d'un hémangiome infantile, grâce à un aspect Doppler caractéristique, et d'apprécier son extension en profondeur (fig. 6-2-36).
Masse canthale externe chez un enfant de 2 mois : hémangiome infantile typique, masse modérément échogène bien limitée (a) avec en Doppler des flux rapides, désordonnés et dont l'index de résistance est bas (b).
Lorsque l'hypertonie est rebelle au traitement et présente des complications hémorragiques ou inflammatoires, le diagnostic d'hémorragie expulsive peut être évoqué avec une exploration par échographie et échographie Doppler réalisée en urgence (fig. 6-2-37) [6, 7].
À noter l'aspect des poches choroïdiennes hémorragiques affrontées et le vitré nettement hémorragique mais sans flux intra-oculaire détecté en échographie Doppler.
On explore en échographie Doppler une éventuelle sténose serrée de la carotide interne [8] tout au long de son trajet, et on recherche une altération du flux de l'aCR, ainsi qu'une inversion (inconstante) du flux de l'aO.
Dans un contexte traumatique, un chémosis avec exophtalmie et souffle vasculaire fait utiliser l’échographie Doppler. Cet examen peut prouver la présence d'une fistule carotido-caverneuse (fig. 6-2-38) [9].
a. Fistule découverte chez une femme de 65 ans : à noter la dilatation importante de la veine ophtalmique supérieure (VOS) gauche. b, c. En Doppler couleur, la veine gauche est codée en rouge comme une artère (b) et en mode pulsé, le flux est nettement artérialisé avec une systole et une diastole, et des vitesses circulatoires de l'ordre de 22 cm.s–1 (c).
Des acouphènes, une diplopie horizontale fluctuante, une exophtalmie minime et une rougeur conjonctivale en tête de méduse orientent aussi vers l’échographie Doppler. L'examen pourra montrer une fistule durale caverneuse de bas débit à drainage veineux orbitaire.
L’échographie Doppler peut aider à la caractérisation tissulaire selon l'existence ou non de vascularisation intrinsèque :
- –
en cas d'absence de flux spontanément détectable, l'examen peut faire évoquer le diagnostic d'hémangiome caverneux, d'hématome collecté spontané ou sur varice (fig. 6-2-39);
Fig. 6-2-39 Varice orbitaire.
a. Hématome spontané sur varice avec saignements d’âges différents, au sein d'une masse à coque épaisse, sans aucune vascularisation, intrinsèque ou périphérique. b. La veine ophtalmique supérieure non thrombosée est bien visualisée par la manœuvre de Valsalva. - –
en cas de vascularisation, l'examen peut orienter le diagnostic, en fonction du profil spectral [10], vers des étiologies d'infiltration lymphoïde (index de résistance bas ≤ 0,55) ou de lésion tissulaire primitive (index de résistance > 0,70).
L'exploration oculaire et orbitaire par échographie Doppler est un examen non invasif réalisable en urgence même sur des paupières fermées ou tuméfiées. Elle donne de précieux renseignements à la fois échographique en mode B mais aussi sur l'analyse des flux vasculaires. En mode couleur ou pulsé, l'intérêt est surtout dirigé vers les lésions vascularisées. L'examen permet le diagnostic de situations vasculaires urgentes, comme la fistule carotidocaverneuse, et aide au diagnostic différentiel, notamment entre des lésions tumorales vascularisées ou non.
[1] Tranquart F, Berges O, Koskas P, et al. Color Doppler imaging of orbital vessels: personal experience and literature review. J Clin Ultrasound 2003 ; 258‑73.
[2] Bertolotto M, Serafini G, Scofienza LM, et al. The Use of CEUS in the diagnosis of retinal/ choroidal detachment and associated intraocular masses-preliminary investigation in patients with equivocal findings at conventional ultrasound. Ultraschall Med 2014 ; 35 (2) : 173‑80.
[3] Berges O, Cerezal L, Sterkers M, et al. Collar-button choroidal melanoma. Anatomoradiologic Correlations (article in French). J Neuroradiol 1994 ; 21 : 50‑5.
[4] Bonanomi MT, Saito OC, De Lima PP, et al. Blood flow velocity in monocular retinoblastoma assessed by color Doppler. Clinics (Sao Paulo) 2015 ; 70 : 797‑803.
[5] Hu A, Pei X, Ding X, et al. Combined persistent fetal vasculature ; a classification based on high-resolution B-mode ultrasound and color doppler imaging. Ophtalmology 2016 ; 123 : 19‑25.
[6] Gungel H, Altan C, Baylancicek DO, et al. the effects of 23-Gauge Pars plana vitrectomy on orbital circulation using Doppler ultrasonography in diabetic macular edema with epiretinal membrane and taut posterior hyaloid. Curr Eye Res 2017 ; 42 : 118‑24.
[7] Abegao Pinto L, Willekens K, Van Keer K, et al. Ocular blood flow in glaucoma-the Leuven Eye Study. Acta Ophthalmol 2016 ; 94 : 592‑8.
[8] Neroev VV, Kiseleva TN, Vlasov SK, et al. Visual outcomes after carotid reconstructive surgery for ocular ischemia. Eye (Load) 2012 ; 26 : 1281‑7.
[9] Srinivasan A, Biro NG, Murchison AP, et al. Efficacy of orbital color Doppler imaging and neuroimaging in the diagnosis of carotid cavernous fistulas. Ophtal Plast Reconstr Surg 2017 ; 33 : 340‑4.
[10] Lecler A, Boucenna M, Lafitte F, et al. Usefulness of colour Doppler flow imaging in the management of lacrimal gland lesions. Eur Radiol 2017 ; 27 : 779‑89.
M. PUECH, F. PERRENOUD, M. SELLAM
L'imagerie en urgence du segment antérieur peut bénéficier d'une approche par échographie de très haute fréquence souvent appelée ultrasound biomicrospopy (UBM) et d'une approche par la technique d'OCT.
L'imagerie par UBM visualise tout le segment antérieur même en cas de trouble des milieux (œdème cornéen, hyphéma). Elle donne aussi un accès en arrière de l'iris à la chambre postérieure, contrairement à l'OCT, dont le faisceau infrarouge est absorbé par l’épithélium de l'iris [1].
L'approche du segment antérieur par OCT peut se faire soit par les OCT de segment postérieur focalisé sur le segment antérieur mais avec une fenêtre d'acquisition limitée en profondeur, soit par des appareils spécifiquement destinés au segment antérieur avec une fenêtre d'acquisition assez grande pour inclure tout le segment antérieur.
Les indications en urgence de l'imagerie du segment antérieur sont dominées par les traumatismes oculaires, les complications chirurgicales et les situations de glaucome aigu, parfois associés à une perte de transparence de la cornée.
Les deux tableaux cliniques de traumatismes oculaires (contusions à globe fermé et plaies ± corps étranger) peuvent bénéficier d'une exploration par UBM. L'exploration échographique est réalisée en seconde intention après l'examen clinique et souvent complétée par une exploration radiologique par scanner à la recherche d'une fracture orbitaire ou d'un corps étranger intra-oculaire [2–4]. À ce stade, l'imagerie par résonance magnétique (IRM) est contre-indiquée en cas de doute sur la présence d'un corps étranger métallique.
L'imagerie par UBM ou OCT permet d’établir un bilan plus précis des lésions du segment antérieur avec la possibilité de réaliser un suivi évolutif d'aval des urgences. L'OCT permet des mesures précises du segment antérieur et l'uBM permet d'imager le corps ciliaire et le cristallin [5–7].
En cas de plaie du globe, l'imagerie peut montrer la présence d'une aniridie partielle ou totale (vidéo 6-2-5), plus ou moins associée à une lésion du corps ciliaire souvent très hémorragique.
En cas de contusion, une iridodialyse peut se prolonger jusqu'au corps ciliaire voire à la choroïde (fig. 6-2-40).
L'examen par UBM peut montrer un décollement ciliaire post-traumatique qui peut être isolé ou associé à un décollement choroïdien (fig. 6-2-41).
L'imagerie peut être utile en cas de cataracte traumatique avec recherche de plaie de la cristalloïde postérieure [8].
L'uBM et l'OCT peuvent identifier une subluxation ou une luxation du cristallin, soit antérieure soit plus fréquemment postérieure, dans le vitré, avec nécessité de compléter l'exploration par une sonde échographique de 10 ou 20 Mhz destinée au segment postérieur.
En cas de subluxation, l'uBM recherche une zone de rupture zonulaire qui peut être soupçonnée par un phénomène de phacodonésis (fig. 6-2-42 et vidéos 6-2-6 et 6-2-7) [7].
La recherche d'un corps étranger intracristallinien est possible par UBM avec quelques signes indirects comme la visualisation du trajet du corps étranger intra-oculaire dans le cristallin. La mise en évidence d'un nodule hyperéchogène signe la position du corps étranger (fig. 6-2-43).
Ces lésions peuvent être explorées, après suture, avec un accès par OCT pour les plans superficiels et par UBM pour le bilan de l’état intra-oculaire (fig. 6-2-44).
Il s'agit avant tout des complications retrouvées après intervention de cataracte ou de glaucome.
L'exploration du segment antérieur peut être utile en urgence en cas :
- –
de persistance de masses cristalliniennes après phacoémulsification incomplète (fig. 6-2-45 et vidéo 6-2-8); une fois identifiée, une reprise chirurgicale rapide est organisée;
Fig. 6-2-45 Visualisation en OCT d'une issue de vitré dépassant le rebord pupillaire. - –
d'issue de vitré (fig. 6-2-46);
Fig. 6-2-46 Visualisation en OCT d'une masse cristallinienne qui repousse l'optique de l'implant. - –
de subluxation ou luxation d'une lentille intra-oculaire. L'analyse par OCT permet de montrer une position anormale de l'implant. L'uBM est néanmoins l'examen de choix pour imager la position des pieds de l'implant en arrière de l'iris ou dans le vitré antérieur (fig. 6-2-47) [8].
Fig. 6-2-47 Image en UBM d'une subluxation de l'optique d'un implant de chambre postérieure avec positionnement d'un des pieds en arrière du corps ciliaire.
Les complications de la chirurgie filtrante peuvent également bénéficier de l'apport de l'imagerie :
- –
les complications iriennes comme les synéchies ou l'incarcération de l'iris dans la chirurgie filtrante peuvent être identifiées;
- –
l'exploration des bulles de filtration et de la région trabéculaire peut aider à identifier un mauvais fonctionnement de la chirurgie filtrant. Une bulle efficace prend un aspect comparable à une éponge (fig. 6-2-48) ou en rayon de miel, contrairement à une bulle kystique ou fibrosée qui peut être de volume conséquent mais avec une conjonctive amincie (fig. 6-2-49);
Fig. 6-2-48 Aspect en UBM d'une bulle conjonctivale d’épaisseur moyenne d’échogénicité moyenne et homogène témoignant d'une bonne filtration conjonctivale.Fig. 6-2-49 Bulle de trabéculectomie avec relief important, mais avec un aspect conjonctival aminci témoignant d'une fibrose qui limite la fonctionnalité de la filtration. - –
en cas d’œdème de cornée, l'OCT et l'uBM peuvent explorer la chambre antérieure. Par exemple, ils peuvent visualiser un tube de Molteno débouchant dans l'angle iridocornéen (fig. 6-2-50).
Fig. 6-2-50 Épaississement cornéen avec œdème.
L'examen par UBM retrouve la partie de la valve de Molteno qui est située dans l'angle iridocornéen (flèche).
L'exploration par OCT et UBM permet d'apprécier l'anatomie du segment antérieur avec possibilité de mesurer les éléments anatomiques qui quantifient les facteurs caractéristiques de la crise de glaucome aiguë. Ils objectivent une faible profondeur de la chambre antérieure, la fermeture de l'angle iridocornéen ou une importante flèche cristallinienne (fig. 6-2-51) [9–11].
L'uBM, par son approche plus complète de l'angle, permet d'identifier le mécanisme de cette fermeture en mettant en évidence le blocage pupillaire parfois associé à une insertion antérieure de la racine de l'iris, à un mécanisme d'iris plateau ou à un glaucome malin.
La racine de l'iris est insérée de façon très antérieure et vient empiéter ou recouvrir le trabéculum (fig. 6-2-52).
L'imagerie permet, malgré un œdème cornéen fréquent dans cette situation d'urgence, d'identifier le blocage pupillaire avec bombement de l'iris vers l'avant et aspect d'angle fermé sur 360° (fig. 6-2-53).
Les images en coupe de l'angle par UBM mettent en évidence une bascule des procès ciliaires en avant de l’éperon scléral avec disparition du sulcus ciliaire (fig. 6-2-54).
L'uBM permet de faire le diagnostic différentiel avec une crise de glaucome par fermeture de l'angle en mettant en évidence de nombreux kystes iridocilaires pouvant intéresser tous les secteurs. Cette situation devra être traitée différemment d'une simple crise de glaucome par fermeture de l'angle (fig. 6-2-55).
L'imagerie UBM met en évidence une position très antérieure du cristallin souvent épais et entraînant une fermeture de l'angle, mais aussi un important aplatissement de toute la chambre antérieure (fig. 6-2-56).
Il en existe deux grandes catégories :
- –
les opacités cornéennes par brûlure chimique ou thermique : l'uBM permet de connaître l’état du segment antérieur sous-jacent et aide au guidage thérapeutique avant décision de greffe cornéenne éventuelle (vidéos 6-2-9 et 6-2-10);
- –
les hémorragies du segment antérieur : il peut s'agir soit d'une hémorragie importante ne permettant pas un bilan anatomique à la lampe à fente, soit d'une hémorragie récidivante d’étiologie indéterminée, par exemple une petite hémorragie suspendue de l'iris masquant une malformation vasculaire de l'iris, une hémorragie récidivante post-chirurgicale (fig. 6-2-57 et vidéo 6-2-11), un anneau de tension capsulaire qui frotte sur les corps ciliaires (vidéo 6-2-12), mais aussi parfois en cas d'implant suturé à la sclère.
Fig. 6-2-57 Hémorragie de la chambre antérieure avec analyse en UBM.
L'imagerie du segment antérieur en situation d'urgence permet de compléter le bilan réalisé à la lampe à fente lors d'une consultation exploratoire dans l'idéal ou en aval immédiat après une consultation initiale.
On peut alors exploiter l'approche complémentaire de l'imagerie par OCT et par UBM. Les appareils par OCT permettent des mesures précises des paramètres du segment antérieur avec une analyse de l'angle iridocornéen. L'exploration par UBM est plus performante en cas d'hyphéma ou pour explorer les éléments situés en arrière de l'iris, par exemple en cas d'iris plateau ou de luxation d'un implant de chambre postérieure.
[1] Fénolland JR, Puech M, Baudouin C, et al. Imaging of the iridocorneal angle in glaucoma. J Fr Ophtalmol 2013 ; 36 : 378‑83.
[2] Yang X, Liu C, Liu L, et al. A missed diagnosis of multiple intraocular foreign bodies for 21 years. Cont Lens Anterior Eye 2017 ; 40 : 432‑5.
[3] Kaushik S, Ichhpujani P, Ramasubramanian A, et al. Occult intraocular foreign body : ultrasound biomicroscopy holds the key. Int Ophthalmol 2008 ; 28 : 71‑3.
[4] Guha S, Bhende M, Baskaran M, et al. Role of ultrasound biomicroscopy (UBM) in the detection and localisation of anterior segment foreign bodies. Ann Acad Med Singapore 2006 ; 35 : 536‑45.
[5] Mohammadi SF, Zandian M, Fakhraie G, et al. Ultrasound biomicroscopy findings in fireworks-related blunt eye injuries. Eur J Ophthalmol 2012 ; 22 : 342‑8.
[6] Ozdal MP, Mansour M, Deschênes J. Ultrasound biomicroscopic evaluation of the traumatized eyes. Eye (Lond) 2003 ; 17 : 467‑72.
[7] McWhae JA, Crichton AC, Rinke M. Ultrasound biomicroscopy for the assessment of zonules after ocular trauma. Ophthalmology 2003 ; 110 : 1340‑3.
[8] García-Feijoó J, Alfaro IJ, Cuiña-Sardiña R, et al. Ultrasound biomicroscopy examination of posterior chamber phakic intraocular lens position. Ophthalmology 2003 ; 110 : 163‑72.
[9] Porporato N, Baskaran M, Aung T. Role of anterior segment optical cohérence tomography in angle closure disease : a review. Clin Exp Ophthalmol 2017 Nov 30.
[10] Liu L, Liu X, Huang C, et al. Associated factors of acute primary angle closure glaucoma in a sub-group of Chinese people : comparison between attack eyes and normal controls. Sci Rep 2017 ; 7 : 14885.
[11] Pierro L, Azzolini C, Brancato R, et al. Ultrasound biomicroscopic evaluation of ciliochoroidal effusion after laser treatment. Ophthalmologica 1999 ; 213 : 281‑5.
A. ABANOU, C. HABAS
Le scanner à rayons X et l'imagerie par résonance magnétique (IRM) ont modifié la prise en charge et l'exploration des troubles visuels en particulier dans le cadre de l'urgence. Le scanner garde une place privilégiée dans l'exploration des traumatismes orbitofaciaux. Toute suspicion de corps étranger doit être éliminée par le scanner.
Les limites du scanner sont la caractérisation tissulaire, les extensions lésionnelles endocrâniennes et la recherche d'anomalies encéphaliques associées.
L'iRM est une modalité à deux composantes : une composante morphologique et une composante structurale. Il existe des contre-indications absolues et relatives.
Une orientation clinique précise est nécessaire afin de bien orienter les examens de neuro-imagerie et permettre une prise en charge thérapeutique adaptée et rapide [1–3].
Le scanner constitue l'indication majeure en urgence, les radiographies standard ne sont quasiment plus indiquées. Son avantage réside dans sa disponibilité.
L'urgence traumatologique constitue une contre-indication formelle à une IRM de première intention. L'iRM peut être indiquée dans un second temps après élimination d'un corps étranger aimantable.
Un traumatisme oculo-orbitaire peut être isolé. Il peut passer au second plan dans un traumatisme maxillofacial et crânien. Toute exploration scannographique oculo-orbitaire doit être complète et intégrer le massif facial, l'orbite et le crâne [2–4].
Le bilan d'un traumatisme oculaire par scanner permet de faire une évaluation anatomique précise, de choisir les bonnes options thérapeutiques, d'améliorer le pronostic.
Il faut distinguer un traumatisme à globe fermé, une plaie du globe ou les traumatismes par corps étranger.
Dans les traumatismes à globe fermé, on peut mettre en évidence la luxation du cristallin, une cataracte contusive, l'hyperdensité spontanée d'un hyphéma. Les hémorragies du vitré sont aisément reconnaissables [3, 5, 6].
L'iRM peut être un complément utile après vérification de l'absence de corps étranger magnétisable (métallique). Elle permet de mieux analyser les modifications oculaires telles que les décollements post-traumatiques choroïdiens, les hémorragies du vitré, les atteintes du nerf optique (contusion, sidération). Le décollement séro-hématique difficilement identifiable sur le scanner peut bénéficier d'une exploration en IRM.
Les traumatismes avec plaie du globe et les corps étrangers peuvent être uniques ou multiples, comme dans le criblage facial avec des localisations oculo-orbitaires mais aussi à distance sur le scalp ou le cou. Le bilan comporte en plus des coupes natives, en fenêtre osseuse et parenchymateuse, des reconstructions dans les deux plans de l'espace, ainsi qu'un traitement volumique. Le scanner met toujours en évidence le corps étranger métallique, minéral et même végétal. La sensibilité et la spécificité sont élevées.
La porte d'entrée du corps étranger peut être méconnue. La topographie est appréciée par rapport à la chambre antérieure, le cristallin, l’équateur et par rapport au méridien et la papille.
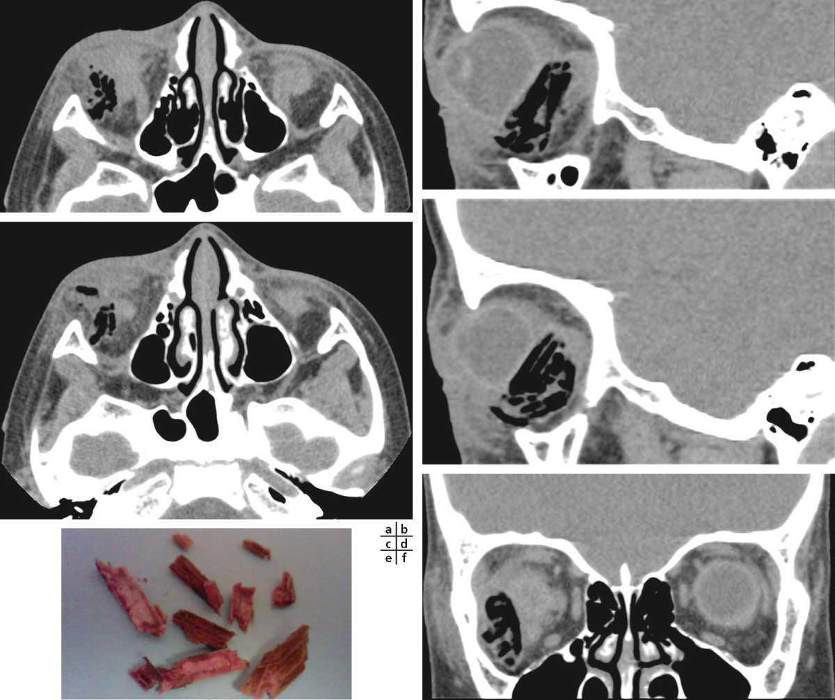
Le corps étranger se traduit au scanner par une hyperdensité millimétrique en fonction de la taille de la lésion générant souvent des artéfacts de calcul. La taille est souvent approximative à cause des mêmes artéfacts (fig. 6-2-58). Les localisations intra- ou parasclérales peuvent être difficiles à discerner. Un corps étranger mobile rend sa localisation difficile. Dans les situations de criblage, les corps étrangers métalliques sont retrouvés en intra-orbitaire, au niveau du massif facial, et parfois en intracrânien.
Scanner à rayons X : corps étranger intra-orbitaire (a, c, d, f, g, i), intra-oculaire (e), conjonctival inférieur (b), hémorragie vitréenne (h).
L'existence d'un corps étranger avec rupture du globe se traduit par une perte de la sphéricité de ce dernier, une déformation oculaire, des tuniques du globe relâchées à contours polycycliques, et les compartiments oculaires ne sont plus reconnus. Le diamètre antéropostérieur du globe oculaire est diminué. L'hypodensité spontanée normale de la graisse orbitaire est diminuée.
Le corps étranger végétal doit être recherché après orientation clinique. Le bois sec, hypodense au début du traumatisme, se réhydrate, devient isodense dans les heures qui suivent le traumatisme (fig. 6-2-59).
Scanner à rayons X : corps étranger végétal intra-orbitaire droit caractérisé par des hypodensités spontanées régulières (a, b, c, d, f), pièce opératoire (e).
L'examen scannographique orbitaire s’étend à l'ensemble du massif facial et à la boîte crânienne. Les fractures orbitaires intéressent soit la paroi orbitaire interne, soit le plancher au niveau du canal sous-orbitaire, rarement le toit de l'orbite (fig. 6-2-60).
Scanner à rayons X : fracture du plancher orbitaire droit, en fenêtre osseuse (a), en fenêtre de parties molles (b) ; pneumo-orbite (a, d) ; emphysème sous-cutané (g) ; fracture de paroi interne (d, e, i) ; fracture de la paroi antérieure du sinus maxillaire avec hémosinus (c, f). Plan trans-hémisphérique oblique : absence d'incarcération musculaire (h).
Dans les fractures du planum ethmoïdal, il existe un décalage de la paroi interne en dedans et une hyperdensité hématique des cellules ethmoïdales. Le muscle droit médial peut être contus et/ou incarcéré avec un environnement hématique hyperdense au scanner qui remplace la graisse extraconique nasale.
La fracture du plancher orbitaire siège le plus souvent en regard du canal sous-orbitaire avec hernie de la graisse et de la périorbite soulignant une discrète hyperdensité du foyer de fracture. Les fractures du plancher entraînent une augmentation du diamètre vertical de l'orbite, une dystopie vers le bas du plancher. L'incarcération du muscle droit inférieur s'accompagne de son environnement graisseux et de l'hématome qui a remplacé la graisse orbitaire. Le muscle incarcéré présente une angulation caractéristique orientée vers le foyer de fracture.
Des fractures comminutives isolant des fragments intermédiaires, le plus souvent déplacés, sont fréquentes. La propagation du trait de fracture peut suivre une direction antéropostérieure qui sera décrite grâce aux reconstructions multiplanaires et au post-traitement.
La fracture en trappe est une urgence absolue, à la fois radiologique et chirurgicale avec un œil peu mobile et douloureux dans la direction du muscle atteint, le plus souvent le muscle droit inférieur. La diplopie verticale post-traumatique est due à une incarcération partielle du muscle droit inférieur dans le foyer de fracture orbitaire mis en évidence sur le scanner. La libération du muscle doit se faire dans les 48 heures afin d’éviter des séquelles oculomotrices liées à la nécrose par compression du droit inférieur.
La fracture du toit de l'orbite peut mettre en communication l'orbite et l’étage antérieur de la base du crâne. Le traumatisme peut aussi générer une simple fissuration du toit pouvant échapper à une analyse rapide.
Dans tous ces traumatismes, l'analyse du canal optique de la fissure orbitaire supérieure et du corps du sphénoïde fait partie de la grille de lecture. L'iRM est indiquée dans ces circonstances et en urgence.
L'hémosinus ethmoïdal ou maxillaire est une hyperdensité hématique spontanée, la pneumo-orbite intra-ou extraconique est une hypodensité aérique. L'emphysème sous-cutané peut suivre plusieurs directions notamment vers la fosse sous-temporale, la région jugo-palpébrale et l'espace buccal. La pneumocéphalie peut accompagner les fractures du toit.
Dans la neuropathie optique traumatique (contusion, section du nerf optique), la fracture du canal optique est à rechercher. La fistule carotido-caverneuse post-traumatique peut être évoquée au scanner s'il existe une dilatation de la veine ophtalmique supérieure, une exophtalmie et un élargissement du sinus caverneux [6–8].
Le rétinoblastome chez l'enfant et le mélanome chez l'adulte constituent deux urgences thérapeutiques.
L'imagerie radiologique permet de confirmer le diagnostic, d’évaluer la taille lésionnelle et de reconnaître la forme anatomo-clinique (endophytique, exophytique et infiltrante).
Au scanner, il s'agit d'un processus occupant de l'espace intra-oculaire calcifié.
En IRM, c'est une lésion hétérogène en hypersignal T1 et en hyposignal T2 par rapport au vitré dont la localisation vis-à-vis de la tête du nerf optique doit être appréciée. Une lésion de petite taille peut échapper à l'examen clinique. La maladie de Coats, la persistance du vitré primitif sont les principaux diagnostics différentiels [9].
L'iRM est la modalité radiologique de choix dans le mélanome choroïdien. L'hypersignal T1 et l'hyposignal T2 contrastent avec le signal du vitré et sont spécifiques. L'hyposignal T2 renforcé sur les échos tardifs est un signe pathognomonique. Le décollement rétinien est en embrase de rideau dont la tête converge vers la tête du nerf optique. L'injection est utile au bilan d'extension locorégionale. L'iRM évalue l'extension par rapport à la tête du nerf optique, l'extension locorégionale, surtout extrasclérale, et l'extension céphalique. Les métastases encéphaliques sont hémorragiques en hypersignal en T2 et T1. Le diagnostic différentiel se fait avec les métastases, l'hémorragie choroïdienne subaiguë, le décollement hémorragique et le naevus choroïdien [9].
Un œdème palpébral doit être considéré jusqu’à preuve du contraire comme une cellulite préseptale (fig. 6-2-61). Il s'agit d'une infection aiguë de l'espace préseptal plus commune chez l'enfant. Elle se localise strictement en avant du septum orbitaire. Sur le scanner, on décrit un processus occupant de l'espace spontanément hyperdense sous forme d'un épaississement étendu d'un canthus à l'autre, et vers la fosse temporale externe homogène, non collecté. L'extension peut se faire vers la région frontale et vers la région jugo-palpébrale inférieure. L’évolution vers l'abcès palpébral se traduit par une collection hypodense au sein de l'hyperdensité initiale. L'injection de produit de contraste peut être nécessaire [10].
Cellulite pré- et rétroseptale droite d'allure homogène au scanner à rayons X (a, b, d, e), d'aspect hétérogène en IRM avant et après injection de gadolinium avec abcédation (c, f, g, i). Sinusite ethmoïdomaxillaire et frontale, réaction méningée intracrânienne (h).
Le franchissement du septum orbitaire définit l'extension rétroseptale. Il est caractérisé par un comblement, une infiltration le long des parois orbitaires, hyperdense, avec un effet de masse sur les muscles et une exophtalmie. Un abcès orbitaire apparaît comme une lésion liquidienne se rehaussant en périphérie en scanner et en IRM.
L'abcès sous-périosté trouve son origine dans des déhiscences et des foramina dans la paroi orbitaire. L’étude des sinus recherche une sinusite aiguë. Les cellulites pré- et rétroseptales sont à distinguer de l'ethmoïdite aiguë traduction d'un œdème de l'angle interne prédominant sur la paupière supérieure accompagné d'une rhinorrhée purulente. Des cellulites faciales ne sont pas exceptionnelles (fig. 6-2-62). L'imagerie, notamment l'iRM, élimine un hématome sous-périosté spontané et est indiquée si on suspecte une extension intracrânienne : empyème, méningite, thrombose du sinus caverneux [11].
Infiltration des parties molles préseptales (a, b, f) sclérite postérieure (d, f), périnévrite du nerf optique droit (c, f). Localisation cérébrale frontale droite (c).
Le scanner retrouve une paupière supérieure déformée par une tuméfaction de la glande lacrymale hyperdense et homogène uni- ou bilatérale. La dacryoadénite aiguë d'origine bactérienne se traduit par une augmentation de la taille de la glande en IRM avec un isosignal en T1, un discret hypersignal en T2 et un rehaussement après injection. L'atteinte bilatérale est souvent associée à une sarcoïdose ou même un lymphome. Le scanner ainsi que l'iRM permettent d’éliminer soit un lymphome, soit un kyste dermoïde.
C'est une infection bactérienne du sac lacrymal suite à une obstruction du conduit lacrymonasal. Le scanner réalisé avant le traitement antibiotique met en évidence un processus occupant de l'espace homogène, spontanément hyperdense, localisé au canthus interne de façon isolée sans extension rétroseptale. La cellulite rétroseptale peut être un des signes de gravité. Le dacryoscanner avec opacification iodée des voies lacrymales est réalisable en seconde intention après traitement à la recherche d'un obstacle sur la voie lacrymale. La dacryocystite aiguë du nouveau-né constitue une surinfection du dacryocèle congénital. Le scanner n'est pas toujours indiqué [10].
Les ptosis aigus peuvent être d'origine post-traumatique par atteinte du releveur de la paupière supérieure, dont le bilan anatomique peut être fait sur le scanner. En cas de négativité, une IRM étudie les muscles, recherche l'atteinte du nerf oculomoteur [5, 12].
L’énophtalmie aiguë est définie par une rétrusion du globe oculaire. Elle est confirmée par la topométrie oculo-orbitaire sur le scanner réalisé dans le plan neuro-oculaire. Elle peut être secondaire à une fracture orbitaire, un cancer du sein suite à une fibrose rétractile. Le scanner couplé à l'iRM confirme une infiltration orbitaire, une ostéolyse [5, 12].
La fistule carotidocaverneuse à haut débit se manifeste par une exophtalmie, une dilatation de la veine ophtalmique supérieure, une hypertrophie des muscles et un élargissement du sinus caverneux (fig. 6-2-63). Le signal du sinus caverneux est visible sur la séquence angiographique artérielle. Ces signes cardinaux sont présents sur le scanner à rayons X, mais plus explicites en IRM. Ils sont plus discrets dans les fistules spontanées à bas débit entre le sinus caverneux et les branches de l'artère carotide externe.
Exophtalmie, hypertrophie des muscles (a, c, e, f), infiltration de la graisse orbitaire (e, f), visibilité de la veine ophtalmique supérieure et du sinus caverneux, en séquence angiographique artérielle (b, d).
Le ptosis dans un syndrome de Claude-Bernard-Horner relève d'une exploration par IRM à la recherche d'une dissection carotidienne. La séquence T1 avec suppression du signal de la graisse montre l'hypersignal de l'hématome pariétal de l'artère carotide interne cervicale. L'angio-IRM complémentaire évalue l'extension en hauteur de la dissection utile au suivi. Les séquences FLAIR ( fluid attenuated inversion recovery ) et diffusion recherchent d’éventuelles lésions ischémiques cérébrales.
Les ptosis non traumatiques relèvent d'une infiltration d'origine tumorale ou inflammatoire.
Les ptosis aigus survenant avec des troubles oculomoteurs réalisant un tableau de paralysie du III complet ou incomplet orienteront l'examen IRM et l'angio-IRM à la recherche d'un anévrisme, image d'addition circulante branchée sur la communicante postérieure et comprimant le III dans son segment cisternal [6].
Les malformations artérioveineuses intra-orbitaires exceptionnelles, comme les varices, peuvent se compliquer d'hématome intra-orbitaire. L'hématome orbitaire est le premier diagnostic à évoquer devant une exophtalmie douloureuse brutale, c'est une lésion dense d'emblée au scanner de signal variable en IRM [8].
Leur effet de masse se traduit par une exophtalmie chiffrable. L'extension des lésions intracrâniennes, faciales ou sinusiennes peut présenter des manifestations orbitaires. Le scanner recherche des calcifications, évalue le squelette facio-orbitaire, chiffre l'exophtalmie, les condensations osseuses ou les ostéolyses. L'iRM met en évidence un processus occupant de l'espace, ses rapports anatomiques, son signal. Parmi les principales étiologies, il faut citer le méningiome (fig. 6-2-64) ou le gliome du nerf optique, les kystes dermoïdes, les lymphomes [2, 8].
Le rhabdomyosarcome est évoqué devant un ptosis, une exophtalmie inflammatoire évolutive ou un strabisme aigu. Cette tumeur mésenchymateuse maligne à croissance très rapide survient avant l’âge de 10 ans. C'est une lésion souvent isodense aux muscles en scanner aux rayons X, en hyposignal T1, hypersignal T2, rehaussée de façon intense après injection. L'imagerie permet d'orienter le diagnostic, le bilan d'extension. Elle évalue la réponse au traitement et détecte une récidive locale [2, 8, 9].
Les lymphomes orbitaires peuvent être localisés ou infiltrants, ils intéressent souvent la glande lacrymale et la conjonctive mais sont retrouvés également en intraconique et dans la région palpébrale (fig. 6-2-65). En imagerie, c'est une masse tissulaire souvent bien limitée, sans modification osseuse et infiltrante, hyperdense au scanner, en isosignal T1, hyper- ou isosignal T2 se rehaussant après injection. En diffusion, l'hypersignal et un coefficient apparent de diffusion ( apparent diffusion coefficient [ADC]) bas caractérisent l'hypercellularité [13].
Dacryoadénite, infiltration musculograisseuse sous le toit de l'orbite en T2 (a) et après injection (b, c, d).
Les métastases du cancer du sein, de la prostate chez l'adulte et du neuroblastome chez l'enfant sont fréquentes. Les lésions rhinosinusiennes malignes de voisinage sont plus rares. Le cancer du sein est lytique, le cancer de la prostate condensant. L'extension à la base du crâne aux os de la voûte est recherchée en scanner et en IRM. La choroïde, les muscles oculomoteurs, les parois orbitaires sont les localisations métastatiques habituelles [2, 8, 13].
Cette inflammation représente 5 % de toutes les atteintes orbitaires, se caractérise par son évolution, sa localisation, son histologie faite d'inflammation et de fibrose [2, 4]. Toutes les structures peuvent être atteintes donnant des dacryoadénites, des myosites, des sclérites, des périnévrites et une atteinte de la graisse orbitaire. Elle se manifeste par des douleurs orbitaires, une exophtalmie. L'imagerie décèle une infiltration orbitaire diffuse, mal limitée intra- et extraconique, en isosignal par rapport aux muscles en T1, en hypo- ou isosignal T2. Le rehaussement est intense au début (fig. 6-2-66).
Exophtalmie sur processus occupant de l'espace orbitaire gauche intraconique en hyposignal T2 (a, b) rehaussé après injection (c, d).
Les sclérites et périsclérites sont facilement individualisables L’épaississement scléral est en hyposignal T1, hypersignal T2. L'injection de gadolinium individualise un processus mal limité doublant de façon irrégulière la sclère et infiltrant la graisse péribulbaire avec participation plus ou moins importante de la glande lacrymale. Les périnévrites sont reconnues sur le scanner à rayons X avec un aspect irrégulier des méninges péri-optiques; en IRM, le gadolinium met en évidence un rehaussement de signal le long du nerf optique. L'existence d'une participation sclérale plaide contre le diagnostic de méningiome [2, 14–16].
Dans la maladie de Behçet, la maladie de Lyme, la sarcoïdose et la maladie de Wegener, des anomalies sont visibles à l’étage encéphalique. Les atteintes myogènes responsables de diplopie se retrouvent dans les orbitopathies dysthyroïdiennes, les syndromes inflammatoires idiopathiques orbitaires, les myosites et les maladies de système de type Wegener ou lupus. La granulomatose de Wegener est une vascularite nécrosante avec un tropisme ORL, pulmonaire et rénal (fig. 6-2-67) [13, 14, 16].
Infiltration des glandes lacrymales, des muscles du cône, de la graisse orbitaire notamment à gauche en IRM sans (a, c, e) avec injection de gadolinium (b, d, f).
La myosite, inflammation musculaire, se traduit par des douleurs orbitaires, une diplopie, une exophtalmie, des signes inflammatoires locaux, rentrant souvent dans le cadre d'une maladie systémique, d'une granulomatose ou d'une infection. Elle est rarement, idiopathique. En imagerie, le muscle est augmenté de volume, en hypersignal T2 rehaussé de façon homogène et intense. La graisse orbitaire est hétérogène et prend le contraste, en hypersignal sur les séquences T2 avec suppression de graisse. Dans les myosites inflammatoires, l'insertion musculaire n'est pas épargnée, contrairement à l'orbitopathie dysthyroïdienne.
Le diagnostic différentiel principal est le lymphome orbitaire. En IRM, le lymphome très cellulaire est en hypersignal en diffusion avec un coefficient ADC bas. Le syndrome de Tolosa-Hunt constitue une entité particulière se traduisant par une prise de contraste à cheval sur le carrefour sphéno-orbitaire et l'apex orbitaire, sur la fissure orbitaire supérieure. Seule l’évolution avec restitution ad integrum permet de retenir le diagnostic.
Les orbitopathies inflammatoires propagées à partir des cavités sinusiennes peuvent être provoquées par les mucocèles fronto-ethmoïdales, qui soufflent les parois orbitaires avec une exophtalmie associée, par une sinusite chronique ou par une polypose naso-sinusienne. La rupture est source d'une réaction inflammatoire orbitaire nécessitant un bilan d'imagerie : scanner et IRM associés (fig. 6-2-68).
Mucocèle frontale droite rompue dans la cavité orbitaire droite, lyse du toit : en scanner aux rayons X (a, d, e, f), en IRM avec injection de produit contraste (b, c).
La mucormycose rhino-orbito-cérébrale, infection mycotique destructive, opportuniste, peut être évoquée chez les patients diabétiques, immuno-déprimés ou dans les hémopathies malignes. La forme rhino-orbito-cérébrale est la plus commune. Il s'agit d'une orbitopathie prédominant à l'apex, douloureuse, avec une baisse d'acuité visuelle, une ophtalmoplégie avec ptosis, un œdème péri-orbitaire et facial. Le scanner montre un aspect de sinusite et l'iRM une extension extrasinusienne vers l'orbite. L'extension au sinus caverneux est une forme grave avec invasion de la carotide interne, thrombose veineuse intracrânienne, formation d'anévrismes mycotiques, source d'infarctus et d'hémorragie méningée.
La thrombose du sinus caverneux peut être septique ou aseptique. Dans les formes septiques, la diffusion se fait par le système veineux du tiers moyen de la face, du sphénoïde et de l'ethmoïde, du sinus sphénoïdal et ethmoïdal. Le staphylocoque doré est retrouvé dans deux tiers des cas. La forme aseptique survient dans des situations de polycythémie, de vascularite, de grossesse, du post-partum, de contraception orale, de traumatisme, de chirurgie ainsi que de compressions par les tumeurs de la base du crâne ou du nasopharynx.
La thrombose du sinus caverneux [11] peut être mise en évidence sur le scanner à rayons X injecté avec une absence d'opacification homogène du sinus caverneux, une dilatation de la veine ophtalmique supérieure, un œdème des parties molles. L'iRM peut être négative au départ. Elle montrera l'absence d'opacification homogène du sinus caverneux et une gêne au retour veineux, notamment au niveau orbitaire. Le diagnostic différentiel peut se faire avec une cellulite orbitaire, une fistule carotidocaverneuse.
L'hypertrophie des muscles du cône, de la graisse orbitaire signe une orbitopathie dysthyroïdienne. L'hypertrophie musculaire (épargnant les tendons) souvent asymétrique, uni- ou bilatérale, parfois monomusculaire est rencontrée. Seule l'iRM permet d'analyser le signal des muscles, en hyposignal en T1 (infiltration lipidique et lymphocytaire), en hypersignal en T2 (œdémateux). La graisse infiltrée, signe une composante inflammatoire en hypersignal en T2. Le scanner à rayons X est indiqué en premier dans l'orbitopathie dysthyroïdienne, à titre documentaire initial et mensuratif pour une évaluation précise de l'exophtalmie et de la taille des muscles. L'iRM est utile pour étudier l'infiltration inflammatoire orbitaire, musculaire ou graisseuse et tardivement l'infiltration graisseuse.
Un œdème papillaire bilatéral fait évoquer une hypertension intracrânienne; un œdème papillaire unilatéral peut s'accompagner d'une baisse d'acuité visuelle précoce par atteinte du nerf optique dans sa partie antérieure.
Le diagnostic différentiel avec des drusen de la papille peut faire appel au scanner ou à l’échographie : la calcification punctiforme de la tête des nerfs optiques est pathognomonique.
L'hypertension intracrânienne obstructive se traduit en imagerie par une dilatation tri- ou quadriventriculaire. Le scanner peut mettre en évidence un processus lésionnel intra- ou extra-axial. L'iRM avec des séquences de flux, une séquence d'angiographie veineuse et l'injection de gadolinium met en évidence la dilatation ventriculaire, le passage transépendymaire de liquide cérébrospinal (LCS), une dilatation des espaces péri-optiques, une saillie de la tête des nerfs optiques et l'obstacle sur les voies d’écoulement du LCS (fig. 6-2-69).
Processus occupant de l'espace métastatique temporal droit en FLAIR, en diffusion (a, b) ; gliome cingulaire gauche en FLAIR, en imagerie de perfusion, après injection de gadolinium (c, f, g) et spectroscopie (i, j) ; thrombophlébite cérébrale (e) ; dilatation ventriculaire, œdème papillaire par sténose tumorale de l'aqueduc de Sylvius (d, h).
L'hypertension intracrânienne idiopathique présente des signes caractéristiques avec une saillie papillaire, un élargissement des espaces péri-optiques, un aplatissement du pôle postérieur du globe et un effet de masse extrinsèque sur les sinus latéraux (fig. 6-2-70). Il n'existe pas de dilatation ventriculaire, de thrombose veineuse, de blocage de l’écoulement du LCS [6, 17, 18].
Élargissement des espaces péri-optiques (a) ; saillie papillaire bilatérale (e) ; aplatissement du pôle postérieur des globes oculaires (d) ; aspect de selle turcique vide (b) ; sténose des sinus latéraux (c) ; diagnostic différentiel : drusen calcifiée (f).
L’œdème papillaire peut se voir également dans le cadre d'une infiltration bilatérale de la tête du nerf optique aisément mise en évidence en IRM.
Une anomalie visuelle nécessite une exploration de l'ensemble de la voie visuelle, du cristallin jusqu'au lobe occipital [6, 19].
Les anomalies transitoires sont des équivalents d'accidents ischémiques transitoires (AIT). L'intérêt de l'imagerie en urgence doit rechercher une pathologie sous-jacente qui menace le pronostic visuel et vital. L'iRM avec les nouvelles séquences de diffusion et de perfusion est très utile. L'iRM de diffusion, fondée sur les mouvements de molécules d'eau, recherche un œdème cellulaire cytotoxique visible dès la première demi-heure suivant l'aIT. Cette exploration encéphalique comporte une exploration vasculaire sur les branches intracrâniennes du polygone de Willis et les troncs supra-aortiques (fig. 6-2-71) [20–22].
Anomalies de signal occipitales gauches en T2 avec nombreux vaisseaux connectés au torcular, au diploé età la table interne (a, b, c) ; séquence angiographique montrant la communication artérioveineuse (d).
La cécité monoculaire transitoire (CMT) est indolore et dure moins de 1 heure. Il s'agit d'une ischémie brutale, temporaire du globe oculaire. L'artère centrale de la rétine, l'artère ophtalmique ou les artères ciliaires courtes peuvent être intéressées. L'iRM cherche une sténose carotidienne homolatérale serrée à l'origine d'emboles fibrinocryoriques ou une baisse du flux sanguin en aval de la sténose. Elle fait le bilan exhaustif des troncs supra-aortiques et des vaisseaux intracrâniens, et s'assure de l'absence d'ischémie cérébrale sur la séquence de diffusion.
L'absence de sténose carotidienne doit orienter la recherche vers une maladie de Horton révélée par une CMT dans 15 à 20 % des cas [23–25]. Les emboles cardiaques, les troubles de l'hémostase représentent les autres causes. La rétinopathie de stase veineuse ou la rétinopathie de bas débit due à une sténose serrée carotidienne donnent une CMT et une baisse de l'acuité visuelle lentement progressive [26].
Cette affection se traduit par une baisse d'acuité visuelle (BAV) brusque, douloureuse chez une jeune femme avec un signe de Marcus Gun. L'iRM réalisée en urgence met en évidence un hypersignal inflammatoire du nerf optique, individualisable dans le plan coronal en séquence STIR ( short tau inversion recovery ). L'hypersignal peut siéger du segment rétrobulbaire du nerf optique jusqu'au chiasma. L'exploration céphalique peut révéler des anomalies de signal de la substance blanche en rapport avec une affection démyélinisante.
Les autres causes de neuropathies optiques (sarcoïdose, maladie de Lyme, maladie de Leber) sont documentées avec une injection de gadolinium.
Cet item d'urgence donne une BAV d'apparition brutale associée à un œdème blanc au fond d’œil. Ce dernier signe une neuropathie optique ischémique antérieure aiguë (NOIAA), infarctus papillaire par occlusion des artères ciliaires courtes postérieures.
La NOIAA est causée invariablement par l'artérite à cellule géante. Elle se caractérise par une BAV brusque dans plus de 50 % des cas. La diplopie, la douleur oculaire sont moins fréquentes. Les BAV transitoires apparaissent dans 30 % des cas, suivies par un déficit permanent. Dans la forme non artéritique, on retrouve un petit disque avec un rapport cup/disc (C/D) diminué. La NOIAA typique ne constitue pas une indication d'imagerie. Dans les aspects atypiques, une IRM peut être faite secondairement à la recherche d’éléments compressifs et d’éléments en faveur d'une maladie de Horton [23]. La biopsie de l'artère temporale a une spécificité et une sensibilité limitées. Une IRM des artères temporales présente une sensibilité et une spécificité beaucoup plus élevées. L'absence d'anomalie notable en regard des voies visuelles sur l'iRM incite à un traitement curatif rapide.
Cet item se complique d'une sténose carotidienne. L'exploration encéphalique recherche un éventuel accident ischémique constitué au niveau cérébral.
Ces BAV sont souvent d'installation brutale par compression, embrochement par une esquille osseuse, voire étirement ou section du nerf optique.
La BAV d'apparition retardée dans le même cadre peut être due à un œdème postérieur d'installation secondaire ou un hématome des méninges péri-optiques. Le scanner à rayons X doit vérifier l'intégrité anatomique du canal optique homolatéral. L'iRM, après élimination d'un corps étranger métallique, cherche un hématome des méninges péri-optiques. L'hypersignal T2 du nerf optique signe une souffrance par contusion directe ou œdème.
La BAV progressive peut être liée à une atteinte intrinsèque du nerf optique ou du chiasma par sarcoïdose, sclérose en plaques, infiltration néoplasique ou compression extrinsèque (fig. 6-2-72).
Hypersignal du nerf optique droit en STIR sur sclérose en plaques (a, b, c) ; ophtalmoplégie nucléaire (f, g), localisation d'une plaque au faisceau longitudinal médian internucléaire avec atteinte lésionnelle au faisceau longitudinal médian (d) ; atteinte bandelettique gauche (e) de la jonction bulbomédullaire (h).
Dans les neuropathies optiques compressives, l'exploration s’étend à l'ensemble des voies visuelles à la recherche d'une atteinte intra-orbitaire, au niveau du carrefour sphéno-orbitaire. La compression du nerf optique peut être d'origine tumorale bénigne de type méningiomateux (fig. 6-2-73), vasculaire ou inflammatoire.
Processus occupant de l'espace suprasellaire : méningiome du jugum et de la gouttière interoptique (a, b, c) ; craniopharyngiome (d, e, f) ; apoplexie hypophysaire (g, h).
Les neuropathies optiques toxiques s'accompagnent de nécrose des noyaux gris.
Les anomalies du champ visuel mal expliquées ou d'aspect neurologique doivent bénéficier d'une exploration IRM complétée éventuellement par le scanner (fig. 6-2-74 et 6-2-75) [26, 27]. Les anomalies du champ visuel transitoires sont des équivalents d'aIT.
Accident vasculaire ischémique occipital droit en diffusion, en FLAIR en T2 (a, b, c). Hématome occipital gauche en diffusion FLAIR, en T2 (d, e, g), en susceptibilité magnétique (h), en scanner à rayons X (f).
Lésion du clivus gauche en T2, rehaussée après injection de gadolinium (a, d, e) ; ostéolyse en scanner aux rayons X (b, c).
Les lésions scotomateuses peuvent être d'origine inflammatoire aiguë, angiomateuse sur le nerf optique, et peuvent se révéler dans le cadre de l'urgence.
Les hémianopsies bitemporales peuvent révéler un macro-adénome, un craniopharyngiome, une nécrose hypophysaire, ou des modifications hémorragiques d'un macro-adénome passé inaperçu. Les hypophysites sont relativement rares.
Ces lésions de la région hypophysaire se traduisent par des processus occupant de l'espace endo- et suprasellaire avec contact avec la face inférieure du chiasma, les segments cisternaux des nerfs optiques et éventuellement l'origine des bandelettes. Les rapports anatomiques du macro-adénome avec les voies visuelles sont précisés sur les coupes pondérées en T2 et en séquence d'inversion-récupération STIR. Les modifications nécrotiques et hémorragiques sont aisément reconnaissables par leur signal respectif.
L'apoplexie pituitaire consiste en un élargissement brusque de la glande hypophysaire souvent dû à une hémorragie ou un infarctus d'un macro-adénome passé inaperçu et produisant un effet de masse sur le chiasma et le sinus caverneux, une hémianopsie bitemporale ou un scotome jonctionnel. Il s'y associe une ophtalmoplégie uni- ou bilatérale par atteinte du III suivi par le VI et éventuellement par le IV. La compression du tronc cérébral et de l'hypothalamus par l'expansion hypophysaire entraîne une baisse de la conscience, un déficit de la thermorégulation, un dysfonctionnement cardiorespiratoire.
La quadranopsie inférieure, l'hémianopsie latérale homonyme, le scotome central hémianopsique correspondent le plus souvent à une atteinte ischémique vasculaire (fig. 6-2-76) par dissection carotidienne. Une atteinte tumorale reste toutefois possible.
Hématome pariétal de de la carotide interne cervicale gauche en T1 avec suppression du signal de la graisse (a, c) ; rétrécissement du calibre artérielle sur la séquence angiographique (d) ; infarctus suraigu occipital gauche (b).
L'hémianopsie latérale homonyme oriente vers une lésion rétro-chiasmatique. Cette atteinte peut être limitée à une quadranopsie. L'iRM ou le scanner peuvent mettre en évidence un infarctus ou un hématome occipital, mais certaines lésions tumorales ou infectieuses peuvent donner les mêmes symptômes.
Les troubles oculomoteurs transitoires sont des équivalents d'aIT. Devant toute diplopie binoculaire, l'imagerie doit éliminer par principe un anévrisme intracrânien, une lésion du sinus caverneux, de l'apex orbitaire, une hypertension intracrânienne, une lésion ischémique ou une maladie de Horton [6, 21, 28].
Une diplopie horizontale bilatérale associée à des céphalées fait évoquer l'hypothèse d'une hypertension intracrânienne ou une thrombophlébite.
La paralysie complète du III (ptosis, mydriase aréflexique, déficit d’élévation, d'abduction et d'abaissement d'un œil) est d'emblée explorée en IRM [29, 30]. Une diplopie verticale ou oblique douloureuse correspond à un III douloureux avec une céphalée brutale intense unilatérale.
Les anévrismes de l'artère communicante postérieure représentent 30 à 60 % des causes de paralysie du III. L'anévrisme de l'artère communicante (fig. 6-2-77) ou cérébrale postérieure est une image d'addition branchée sur l'arbre vasculaire, circulante et présente en angio-IRM en temps de vol (fig. 6-2-78).
Paralysie du III droit par neurinome de la portion cisternale en T2 (a), en ARM (b), avec injection (c) ; lésion anévrismale de la communicante postérieure droite (d, e, f).
Infarctus mésencéphalique en diffusion paramédian gauche (a) du centre semi-ovale droit (b), protubérantiel médian (d), thalamo-diencéphalique gauche (e) ; sténose de l'artère cérébrale postérieure gauche en ARM (c) ; réduction du coefficient de diffusion (f).
L'atteinte du III peut être due à la compression directe par le sac anévrismal, à une irritation par hémorragie méningée ou aux pulsations de l'anévrisme. Une atteinte pupillaire précoce permet de distinguer les formes compressives des formes ischémiques. Une paralysie du III externe avec une pupille normale est souvent d'atteinte ischémique et non compressive. L'iRM détecte plus de 95 % des anévrismes. Le gold standard reste l'angiographie numérisée conventionnelle.
En plus de l'anévrisme, on peut retrouver des signes de saignements récents. L'atteinte du sinus caverneux peut être associée à une orbitopathie.
La paralysie incomplète du III peut être due à une névrite.
Les paralysies du IV sont le plus souvent dues à une atteinte congénitale décompensée. L'iRM couplée au scanner à rayons X cherche d'abord une asymétrie de la poulie des muscles grands obliques. Une atteinte traumatique musculaire n'est pas rare. Une atteinte de la région mésencéphalique est à rechercher telle que les tumeurs pinéales ou les gliomes mésencéphaliques (fig. 6-2-79).
Paralysie du III droit dans le toit du sinus caverneux par métastase en T2 (a, b) avec injection de gadolinium (c, d) ; ophtalmoplégie complète par un anévrisme carotidien droit (e, f) ; méningiome du sinus caverneux droit (g, h).
L'atteinte du VI n'est nullement localisatrice, l'exploration encéphalique doit être globale. La paralysie du VI relève de plusieurs causes, il peut s'agir d'un processus occupant de l'espace intracrânien, d'une hypertension intracrânienne. Une hypotension intracrânienne spontanée par fuite de LCS et perte du volume ventriculaire, un engorgement veineux épaississant les méninges, ainsi qu'une ptose des amygdales cérébelleuses dans le trou occipital donnent une paralysie du VI (fig. 6-2-80).
Ptose des amygdales cérébelleuses (a) ; collapsus ventriculaire (b) ; engorgement veineux des espaces sous-arachnoïdiens en hypersignal en FLAIR, en T2 (c, d) rehaussés après injection de gadolinium donnant un aspect de pachyméningite (e, f).
L'atteinte de plusieurs nerfs crâniens doit faire rechercher une localisation à l'apex orbitaire, au sinus caverneux et à la base du crâne.
Une diplopie horizontale d'apparition brutale doit faire rechercher un infarctus sur le noyau du VI ou une affection démyélinisante du système nerveux central. L'ophtalmoplégie internucléaire constitue une atteinte du faisceau longitudinal médian, bien mise en évidence sur les coupes axiales et sagittales en IRM. Il s'agit exclusivement d'une sclérose en plaques.
Une ophtalmoplégie bilatérale fait évoquer une infiltration de la base du crâne d'origine inflammatoire de type Wegener ou tumoral.
Le syndrome de Tolosa-Hunt [31, 32] est évoqué également devant une prise de contraste localisée au carrefour sphéno-orbitaire (fig. 6-2-81). C'est en général un diagnostic d'exclusion. Les premières causes sont une sarcoïdose, un lymphome ou des métastases.
Paralysie oculomotrice ophtalmoplégique gauche par granulome de la fissure orbitaire en T2 (a, b, c) et après injection de gadolinium (d, e, f).
L'imagerie radiologique moderne a grandement amélioré l'exploration des items d'urgence en ophtalmologie. Il en découle une prise en charge des patients meilleure et plus rapide. L'iRM est indiquée comme modalité de choix dans les urgences neuro-ophtamologiques, le scanner dans les urgences traumatologiques. Le passage d'une modalité à l'autre assure un bilan complet et exhaustif. Les acquisitions initiales des deux modalités obéissent à des contraintes techniques rigoureuses : haute résolution, filtres multiples au scanner, acquisitions morphologiques et structurales en IRM. Elles sont utilement complétées et améliorées avec du post-traitement.
[1] Cavazuti B, Chen V, Aiken A, et al. Decoding the ophthalmology note : understanding clinical symptoms and physical examination findings in the context of imaging pathology. Neurographics 2017 ; 7 : 168‑83.
[2] Cabanis E, Bourgeois H, Ibazizen M. L’imagerie en ophtalmologie. Rapport SFO 1996. Paris : Masson ; 1996.
[3] Capps EF, Kinsella JJ, Gupta M, et al. Emergency imaging assessment of acute, nontraumatic conditions of the head and neck. Radiographics 2010 ; 30 : 1335‑52.
[4] Tuil E, De Nicola R, Mann F, Miléa D, Barale PO. Ophtalmologie en urgence. Issyles- Moulineaux : Elsevier Masson ; 2014.
[5] Landré C. Les urgences traumatiques pédiatriques. Réalités ophtalmologiques 2016 ; (236) : 15‑9.
[6] Lemos J, Eggenberger E. Neuro-ophthalmological emergencies. Neurohospitalist 2015 ; 5 : 223‑33.
[7] Osborn A, Salzman K, Katzman G, et al. Diagnostic imaging : brain. 2nd ed. Elsevier ; 2009.
[8] Müller-Forell WS, Boltshauser E, Sartor K, et al. Imaging of orbital and visual pathway pathology. Berlin/Heidelberg : Springer ; 2006.
[9] Derrien S, Jacomet P, Koskas P, Dureau P. Les urgences tumorales de l’enfant. Réalités Ophtalmologiques 2016 ; (236) : 24‑8.
[10] Derhy DBT, Sauer A. Les infections orbitaires de l’enfant. Réalités Ophtalmologiques 2017 ; (242) : 21‑3.
[11] Schuknecht B, Simmen D, Yüksel C, Valavanis A. Tributary venosinus occlusion and septic cavernous sinus thrombosis : CT and MR findings. American Journal of Neuroradiology 1998 ; 19 : 617‑26.
[12] Denier C. Les urgences neuro-ophtalmologiques pédiatriques. Réalités Ophtalmologiques 2016 ; (236) : 20‑3.
[13] Haradome K, Haradome H, Usui Y, et al. Orbital lymphoproliferative disorders (OLPDs) : value of MR imaging for differentiating orbital lymphoma from benign OPLDs. AJNR Am J Neuroradiol 2014 ; 35 : 1976‑82.
[14] McKinney AM, Short J, Lucato L, et al. Inflammatory myofibroblastic tumor of the orbit with associated enhancement of the meninges and multiple cranial nerves. AJNR Am J Neuroradiol 2006 ; 27 : 2217‑20.
[15] Toyoda K, Oba H, Kutomi K, et al. MR imaging of IgG4-related disease in the head and neck and brain. AJNR Am J Neuroradiol 2012 ; 33 : 2136‑9.
[16] Saremi F, Helmy M, Farzin S, Zee CS, Go JL. MRI of cranial nerve enhancement. AJR Am J Roentgenol 2005 ; 185 : 1487‑97.
[17] Degnan AJ, Levy LM. Pseudotumor cerebri : brief review of clinical syndrome and imaging findings. AJNR Am J Neuroradiol 2011 ; 32 : 1986‑93.
[18] Ridha MA, Saindane AM, Bruce BB, et al. MRI findings of elevated intracranial pressure in cerebral venous thrombosis versus idiopathic intracranial hypertension with transverse sinus stenosis. Neuro-ophthalmology 2013 ; 37 : 1‑6.
[19] Heran F, Schaison-Cusin M, Williams M, Piekarski JD. Imagerie des urgences en neuro-ophtalmologie. J Neuroradiol 2004 ; 31 : 291‑300.
[20] Lamirel C, Newman N, Biousse V. Les troubles visuels transitoires : démarche diagnostique. J Fr Ophtalmol 2009 ; 32 : 760‑4.
[21] Easton JD, Saver JL, Albers GW, et al. Definition and evaluation of transient ischemic attack: a scientific statement for healthcare professionals from the American Heart Association/American Stroke Association Stroke Council ; Council on Cardiovascular Surgery and Anesthesia ; Council on Cardiovascular Radiology and Intervention ; Council on Cardiovascular Nursing ; and the Interdisciplinary Council on Peripheral Vascular Disease. The American Academy of Neurology affirms the value of this statement as an educational tool for neurologists. Stroke 2009 ; 40 : 2276‑93.
[22] Wintermark M, Sanelli PC, Albers GW, et al. Imaging recommendations for acute stroke and transient ischemic attack patients : a joint statement by the American Society of Neuroradiology, the American College of Radiology and the Society of NeuroInterventional Surgery. J Am Coll Radiol 2013 ; 10 : 828‑32.
[23] Klink T, Geiger J, Both M, et al. Giant cell arteritis: diagnostic accuracy of MR imaging of superficial cranial arteries in initial diagnosis – results from a multicenter trial. Radiology 2014 ; 273 : 844‑52.
[24] Geiger J, Ness T, Uhl M, et al. Involvement of the ophthalmic artery in giant cell arteritis visualized by 3T MRI. Rheumatology (Oxford) 2009 ; 48 : 537‑41. [25] Bley TA, Uhl M, Carew J, et al. Diagnostic value of high-resolution MR imaging in giant cell arteritis. AJNR Am J Neuroradiol 2007 ; 28 : 1722‑7.
[26] Ay H, Arsava EM, Johnston SC, et al. Clinical- and imaging-based prediction of stroke risk after transient ischemic attack : the CIP model. Stroke 2009 ; 40 : 181‑6.
[27] Bouffard MA, Cornblath WT, Rizzo JF 3rd, et al. Transient monocular vision loss on awakening : a benign amaurotic phenomenon. J Neuroophthalmol 2017 ; 37 : 122‑5.
[28] Bae YJ, Kim JH, Choi BS, et al. Brainstem pathways for horizontal eye movement : pathologic correlation with MR imaging. Radiographics 2013 ; 33 : 47‑59.
[29] Stalcup ST, Tuan AS, Hesselink JR. Intracranial causes of ophthalmoplegia : the visual reflex pathways. Radiographics 2013 ; 33 : E153‑69.
[30] Hacein-Bey L, Provenzale JM. Current imaging assessment and treatment of intracranial aneurysms. AJR Am J Roentgenol 2011 ; 196 : 32‑44.
[31] Kline LB, Hoyt WF. The Tolosa-Hunt syndrome. J Neurol Neurosurg Psychiatry 2001 ; 71 : 577‑82.
[32] Kwan E, Wolpert S, Hedges T 3rd, Laucella M. Tolosa-Hunt syndrome revisited : not necessarily a diagnosis of exclusion. American Journal of Roentgenology 1988 ; 150 : 413‑8.
