Gestion de l’urgence ophtalmologique
Aspects médico-légaux
A. FOELS, V. AMELINE, J.-L. BOURGES
A. FOELS
La responsabilité du praticien ou de l’établissement est fréquemment mise en cause dans le cadre des pathologies nécessitant une prise en charge urgente.
Il n’y a pas réellement de code spécifique édictant exactement ce que doit faire le médecin face aux urgences.
Le médecin est soumis comme tout citoyen aux obligations générales figurant dans le Code civil pour un dommage causé à autrui et dans le Code pénal pour des dommages résultant d’infractions graves de nature à mettre en cause l’ordre public et réprimés de ce fait (par exemple, coups et blessures volontairement ou involontairement portés).
Mais, si l’acte médical n’est pas spécifiquement visé par ces codes, il est parfaitement décrit par la jurisprudence. En effet, les décisions de justice se réfèrent à la théorie définie par la loi (Code civil et Code pénal), mais également à la pratique commentée par la jurisprudence (décisions circonstanciées successives des cours d’appel ou de la Cour de cassation qui interprètent la loi). La jurisprudence, droit appliqué plus souple que la loi, est rapidement adaptable aux évolutions récentes et a défini les bonnes pratiques de l’acte médical.
La première loi spécifique de l’exercice médical a été la loi n° 2002-303 du 4 mars 2002 relative aux droits des malades et à la qualité du système de santé, elle s’inspire largement des jurisprudences antérieures [1]. Elle définit précisément les droits des malades, les devoirs des médecins et les règles de la responsabilité médicale.
Cette loi reprend la plupart des obligations définies par les décisions jurisprudentielles antérieures des cours d’appel ou de la Cour de cassation qui ont, petit à petit, dessiné les contours précis du contrat médical et les obligations qui en découlent pour les praticiens. Elle précise notamment en ce qui concerne la qualité des soins que « toute personne a le droit de bénéficier des soins les plus appropriés au regard des sciences médicales avérées ».
Il résulte de ces évolutions du droit français différentes obligations opposables au médecin.
Dans son exercice quotidien et dans la prise en charge des situations urgentes, l’obligation fondamentale que doit respecter le médecin praticien est l’obligation de moyens, telle qu’établie par la jurisprudence de l’arrêt Mercier (1936), qui implique de « donner des soins non pas quelconques, mais consciencieux, diligents, attentifs et conformes aux données actuelles de la science » [2].
Les bonnes pratiques, qui s’appliquent évidemment aussi aux consultations d’urgence, sont prévues par les articles 32 et 33 du Code de déontologie médicale [3] :
- –
article 32 : « Dès lors qu’il accepte de répondre à une demande, le médecin s’engage à assurer personnellement au patient des soins consciencieux, dévoués et fondés sur les données acquises de la science, en faisant appel, s’il y a lieu, à l’aide de tiers compétents » ;
- –
article 33 : « Le médecin doit toujours élaborer son diagnostic avec le plus grand soin en y consacrant le temps nécessaire en s’aidant, dans toute la mesure du possible, des méthodes scientifiques les mieux adaptées et, s’il y a lieu, de concours appropriés ».
La cause la plus fréquente de plaintes dans le cadre de l’urgence en ophtalmologie vient de patients présentant une pathologie potentiellement curable et qui ont perdu des chances de guérison du fait d’un délai trop long de prise en charge. Les cas les plus fréquemment rencontrés concernent les kératites infectieuses chez les porteurs de lentille de contact et les urgences rétiniennes. Est aussi reprochée la prise en charge trop tardive d’un décollement postérieur du vitré n’ayant pas permis de mettre en œuvre les traitements préventifs adéquats, d’où l’évolution vers le décollement de rétine. Sont également pointés les décollements de rétine diagnostiqués et opérés trop tardivement avec macula alors décollée, ou pris en charge trop tardivement à un stade de prolifération vitréorétinienne alors avancée.
Curieusement, les mises en cause sont beaucoup plus rares pour les retards de prise en charge des dégénérescences maculaires exsudatives.
Le praticien ne peut s’exonérer de son obligation de moyens en faisant valoir sa surcharge de travail. Il est donc impératif de réserver dans les carnets de rendez-vous des créneaux horaires pour les urgences.
L’obligation de moyens commence dès que le cabinet du praticien décroche le téléphone.
Les secrétaires doivent être formé(e)s pour repérer dans la file des demandes de consultation rapide celles qui présentent des critères de gravité imposant une prise en charge immédiate. Leur défaillance expose la responsabilité de l’ophtalmologiste employeur en fonction de l’article 1242 du Code civil (ancien article 1384, modifié par l’ordonnance n° 2016-131 du 10 février 2016) : « On est responsable non seulement du dommage que l’on cause par son propre effet, mais encore de celui qui est causé par le fait des personnes dont on doit répondre, les choses que l’on a sous sa garde. ».
Il est donc indispensable de former les secrétaires et de mettre en place un circuit adapté pour répondre aux demandes de consultation d’urgence, en étant conscient de la difficulté du tri et du fait que toute erreur risque de conduire à une action de demande de réparation [4].
On ne peut que souligner le risque d’un conseil thérapeutique oral relayé par la secrétaire, sans écoute téléphonique directe du patient par le praticien, qui peut conduire à sous-estimer la gravité potentielle du cas clinique.
De même, lorsque l’ophtalmologiste prend directement l’appel téléphonique, il doit toujours redouter de sous-estimer le niveau de gravité. Tout défaut d’appréciation de la gravité clinique peut être qualifié de manquement à l’obligation de moyens ou, pire, de non-assistance à personne en danger.
Au moindre doute, il faut impérativement faire venir le patient pour réaliser un examen clinique, tel que décrit dans l’article 33 du Code de déontologie médicale, rapporté ci-dessus.
Une prescription ne doit en aucun cas être téléphonique. Elle doit être écrite, mentionnant les médicaments, la dose, la voix d’administration et la durée du traitement prescrit.
En cas d’impossibilité de recevoir le patient dans un délai compatible avec la situation d’urgence, il doit être orienté avec des consignes claires vers le service d’urgence ophtalmologique hospitalier ou privé le plus proche. En cas d’indisponibilité du standard téléphonique du cabinet médical, le répondeur automatique doit indiquer au patient le service d’urgence où il doit se rendre.
Dans le cadre particulier d’une urgence succédant à une intervention chirurgicale, le chirurgien ophtalmologiste doit être toujours joignable. Il ne peut se reposer sur la permanence téléphonique de l’établissement où il a réalisé l’intervention chirurgicale. De nombreux dossiers de contentieux montrent que les réponses des personnels des standards téléphoniques d’établissement, en cas d’endophtalmie débutante notamment, sont désastreuses et conduisent à des retards dommageables. Le chirurgien ophtalmologiste doit s’assurer de la continuité des soins en laissant un numéro de téléphone permettant de le joindre personnellement et immédiatement en cas d’urgence. À défaut, son répondeur doit indiquer un confrère immédiatement disponible, ou bien un service hospitalier disposant d’urgences ophtalmologiques (article 47 du Code de déontologie médicale et article R. 4127-47 du Code de la santé publique).
Article 47 du Code de déontologie médicale et article R. 4127-47 du Code de la santé publique
« Quelles que soient les circonstances, la continuité des soins aux malades doit être assurée.
Hors le cas d’urgence et celui où il manquerait à ses devoirs d’humanité, un médecin a le droit de refuser ses soins pour des raisons professionnelles ou personnelles.
S’il se dégage de sa mission, il doit alors en avertir le patient et transmettre au médecin désigné par celui-ci les informations utiles à la poursuite des soins. »
Le fait que la consultation d’urgence soit effectuée en surnombre ou sur une plage horaire initialement non prévue, ne dispense pas de procéder à un examen clinique aussi consciencieux qu’en cas de consultation programmée et à la prise de mesures adéquates.
L’obligation de moyens peut commander de prescrire des examens complémentaires, par exemple :
- –
la réalisation d’un scanner orbitaire, ou d’une radiographie, en cas de possibilité de corps étranger intra-oculaire méconnu (source assez fréquente de plaintes) ;
- –
la réalisation d’une tomographie par cohérence optique ( optical cohérence tomography [OCT]) en cas de risque de néovascularisation choroïdienne.
Le contexte de la consultation d’urgence ne dispense pas de rédiger une fiche d’observation bien tenue, conformément à l’article 45 du Code de déontologie médicale qui prévoit qu’« indépendamment du dossier de suivi médical prévu par la loi, le médecin doit tenir pour chaque patient une fiche d’observation qui lui est personnelle ». Cette fiche aura un intérêt majeur en cas de contentieux ultérieur. L’expérience prouve que l’absence de mention précise des raisons de la consultation, des signes fonctionnels présentés et des données de l’examen clinique sera bien souvent interprétée, en cas de procédure ultérieure, comme la preuve d’un examen insuffisant ayant conduit à une erreur de diagnostic ou à une méconnaissance de la gravité.
Il faut aussi rappeler que le fait d’avoir répondu à la consultation d’urgence ne termine pas l’acte médical. De nombreux contentieux sont liés au fait que le patient va présenter une aggravation ultérieure, ou une modification de son état clinique conduisant à un autre diagnostic. La continuité des soins doit être assurée en fin de consultation d’urgence : le patient doit être revu si nécessaire pour s’assurer de l’efficacité de la thérapeutique prescrite, ou informé du fait qu’il doit se représenter en cas de modification de l’état clinique.
Enfin, si le praticien estime qu’il n’a pas les éléments suffisants pour effectuer un diagnostic précis, ou si l’état présenté dépasse sa compétence, l’obligation de moyen lui impose d’orienter le patient vers un service plus compétent.
« Tout médecin est, en principe, habilité à pratiquer tous les actes de diagnostic, de prévention et de traitement. Mais il ne doit pas, sauf circonstances exceptionnelles, entreprendre ou poursuivre des soins, ni formuler des prescriptions dans des domaines qui dépassent ses connaissances, son expérience et les moyens dont il dispose », selon l’article R. 4127-70 du Code de la santé publique et l’article 70 du Code de déontologie médicale. En conséquence, c’est au médecin que revient la responsabilité d’évaluer ses compétences et surtout ses limites de compétences. En vertu de l’omni-valence du diplôme médical, rien ne s’oppose a priori à ce qu’un praticien non-ophtalmologiste prenne en charge une urgence ophtalmologique, s’il estime en conscience que sa formation personnelle lui en donne la compétence sans perte de chance injustifiée ou injustifiable pour le patient. Le praticien est son propre censeur pour le rôle qu’il s’attribue dans le domaine ophtalmologique lorsqu’il prend en charge une urgence ophtalmologique. Il est de son devoir de faire face à la situation d’être en première ligne devant une urgence ophtalmologique. Il peut s’investir en dispensant des soins, des conseils et/ou en orientant le patient de manière appropriée. Il lui serait en revanche opposé de dispenser des soins qu’il ne maîtrise pas (article 40 du Code de déontologie médicale). Il s’exposerait alors à être mis en cause. Par exemple, la Cour de cassation (arrêt n° 09-68631 du 25 novembre 2010) a jugé qu’un médecin généraliste qui assurait l’accueil aux urgences et avait méconnu une fracture chez un enfant était fautif d’une interprétation inexacte des lésions alors qu’il aurait dû orienter le patient vers une structure spécialisée. On comprend bien que ce type de jurisprudence est aisément transposable à l’exercice de l’ophtalmologie.
Les pouvoirs publics ont édicté de nombreux textes législatifs concernant l’organisation et la pratique de la médecine d’urgence. Tout service d’urgence doit prendre en charge tout patient se présentant sans considération d’âge, de pathologie ou de gravité. Chaque établissement doit mettre en place des filières de soins adaptés à ceux qui ne relèvent pas de sa compétence exclusive. Par exemple, pour ceux qui ne disposent pas d’un service d’ophtalmologie d’urgence, il convient d’organiser un transfert rapide vers l’établissement compétent. L’expérience montre que les causes les plus fréquentes de réclamation contre l’établissement viennent de dysfonctionnements intrinsèques :
- –
attente trop prolongée aux urgences, par exemple dans le cas de brûlure caustique nécessitant des soins immédiats ;
- –
prise en charge inadéquate d’une pathologie ophtalmologique par le médecin interniste, sans en référer au service d’ophtalmologie, aboutissant à la méconnaissance d’une pathologie grave (comme une plaie du globe) ou à un traitement inapproprié ;
- –
refus de l’ophtalmologiste d’astreinte de se déplacer, aboutissant à un retard dommageable de prise en charge, assimilé à une perte de chance.
Les ophtalmologistes, face aux demandes de soins non programmés qualifiés d’urgents, sont dans une situation extrêmement difficile, compte tenu de la raréfaction de l’offre de soins en ophtalmologie. Les meilleures mesures consistent à réserver des plages horaires dédiées et à former au mieux les secrétariats pour tenter d’évaluer l’état de gravité potentielle permettant de hiérarchiser les priorités de prises en charge. En cas d’impossibilité d’assurer des soins corrects, il faut orienter vers le service de garde compétent (fig. 3-1-2).
Les évolutions de ces dernières années ont ouvert des voies de recours aisées et gratuites pour les patients mécontents. Le médecin doit toujours s’attendre à d’éventuelles mises en cause. Il doit donc veiller à remplir son obligation de moyens et à pré-constituer, grâce à un dossier bien tenu, les preuves de ses bonnes pratiques.
[1] Loi n° 303 du 4 mars 2002 relative aux droits des malades et à la qualité du système de santé. Journal Officiel 2002 ; 5.
[2] Gerson C. Médecine d’urgence et manquement à l’obligation de moyens. Quotidien du médecin ; 2000.
[3] Code de déontologie médicale. Avril 2017. En ligne : https://www.conseil-national. medecin.fr/sites/default/files/codedeont.pdf
[4] Hureau J, Poitout DG. L’expertise médicale : en responsabilité médicale et en réparation du préjudice corporel. Issy-les-Moulineaux : Elsevier Masson ; 2011.
Code civil. Livre III, titre III, sous-titre II, chapitre 1er , article 1242 modifié par l’ordonnance n° 2016‑131 du 10 février 2016.
Code de la santé publique. Partie réglementaire ; quatrième partie ; livre Ier ; titre II ; chapitre VII ; section 1 : Code de déontologie médicale.
Cour de cassation, chambre civile, 20 mai 1936 : arrêt Mercier. Cour de cassation, chambre civile, audience publique du 25 novembre 2010, n°s de pourvoi : 09‑68631.
Loi n° 2002‑303 du 4 mars 2002 relative aux droits des malades et à la qualité du système de santé.
V. AMELINE, J.-L. BOURGES
On observe que la sinistralité en ophtalmologie d’urgence est alimentée en particulier par :
-
le défaut de prise en charge des demandes de soins non programmés (DSNPO) dans des délais compatibles avec l’item d’urgence du patient ;
-
la constatation de soins ni consciencieux, ni diligents, ni attentifs, ni conformes aux données acquises de la science, car souvent donnés à la hâte dans le cadre d’un ajout de consultation au sein d’une activité déjà dense ;
-
le défaut d’orientation adaptée à la DSNPO lorsqu’elle ne peut pas être assumée par le praticien sollicité ;
-
le défaut d’information qui est sévèrement sanctionné, recherché et retenu pour annuler l’aléa thérapeutique même confirmé.
La prise en charge des demandes de soins non programmés (DSNPO) représente une part non négligeable de la sinistralité globale de la spécialité. Le recueil de la Mutuelle d’assurances du corps de santé français (MACSF) en est l’illustration [1].
En 2015, parmi les mises en cause, le symptôme « trouble permanent visuel » avaient fait méconnaître deux décollements de rétine (DR) et une occlusion de la veine centrale de la rétine (OVCR). Un trouble permanent n’avait pas fait évoquer une maladie de Horton conduisant à la cécité. Un autre avait conduit à une demande d’exploration mais une prescription inadaptée avec complication. Enfin, les autres sinistres concernaient des yeux rouges, parfois douloureux, ayant fait méconnaître des conjonctivites et kératites bactériennes ou amibiennes avec perte de chance.
En 2016, les 4 235 ophtalmologistes sociétaires de la MACSF, dont 3 792 libéraux, ont adressé 206 déclarations (232 en 2015) dont 12 sans suite et dont 203 en exercice libéral (205 en 2015), soit une sinistralité de 5,35 % (5,25 % en 2015). Ces déclarations se répartissent en 38 procédures civiles, 7 plaintes ordinales, 113 réclamations amiables et 47 saisines d’une commission de conciliation et d’indemnisation ou CCI (fig. 3-1-3).
CCI : commission de conciliation et d’indemnisation.
En 2017, les symptômes traduisant des items méconnus responsables de sinistres en ophtalmologie d’urgence et en DSNPO sont exposés dans le tableau 3-1-1 .
| Symptôme motivant la DSNPO | Item d'urgence méconnu |
|---|---|
| Anomalie visuelle permanente | Décollement de rétine |
| Neuro-ophtalmologie | |
| Glaucome aigu par fermeture de l'angle | |
| Occlusion de l'artère centrale de la rétine | |
| Anomalie visuelle permanente + œil rouge + douleurs | Amibiase |
| Occlusion de l'artère centrale de la rétine | |
| Anomalie visuelle transitoire (phospène) | Mélanome |
| Œil rouge | Traitement inefficace |
| Syndrome sec | |
| Œil rouge + douleurs | Décollement de rétine |
| Traumatisme | Fracture du plancher orbitaire |
| Corps étranger intra-oculaire | |
| Corps étranger intra-orbitaire |
Le tableau 3-1-2 renseigne sur la sinistralité d’urgence ophtalmologique et illustre sa tendance évolutive par rapport à la sinistralité globale de la spécialité.
| Total des sinistres | Liés à une DSNPO | DSNPO/total (%) | Tendance | ||||
|---|---|---|---|---|---|---|---|
| 2015 | 2017 | 2015 | 2017 | 2015 | 2017 | ||
| Diagnostic | 7 | 13 | 4 | 11 | 57 % | 85 % | ↑ |
| Prise en charge | 16 | 11 | 7 | 2 | 44 % | 18 % | ↓ |
| Sans suite | 26 | 12 | |||||
| Total | 206 | 194 | 11 | 13 | 5 % | 7 % | ↑ |
Il est particulièrement difficile d’évaluer la sinistralité en ophtalmologie en s’intéressant uniquement aux DSNPO, autant dans le cadre des consultations en structure d’urgence (SU) générale de médecine générale ou en SU hospitalière tout-venant, que dans celui des consultations ophtalmologiques en urgence en cabinet libéral ou en service hospitalier ophtalmologique [2].
Il n’existe pas de statistiques fiables concernant la proportion de sinistres en rapport avec les DSNP médicales alléguées ou avérées en ophtalmologie, par rapport à la sinistralité globale en ophtalmologie.
Néanmoins, il est certain que le fait qu’un patient s’adresse à un ophtalmologiste qu’il ne connaît pas, pour une altération visuelle brutale ou pour un traumatisme oculaire récent, entraîne une surexposition au risque de mise en cause de la responsabilité civile professionnelle. Le fait est que, fréquemment, ces patients sont examinés en plus des consultations prévues. La consultation en urgence est donc souvent une consultation rapide. Elle est nécessairement non exhaustive bien que juridiquement, l’ophtalmologiste doive réserver des plages de consultation dédiées aux urgences.
La nature des sinistres liés aux DSNPO est également très variée sans que l’on puisse établir un pourcentage précis de ces différentes natures.
Le patient s’adresse à son ophtalmologiste habituel en secteur libéral ou consulte en SU ophtalmologique (SUO) de l’hôpital pour des signes visuels aussi variés qu’une altération visuelle, un œil rouge et douloureux, un traumatisme oculaire, une vision floue, des mouches volantes, etc.
La définition de l’urgence est également complexe puisque l’on peut considérer que toute consultation non programmée est une consultation en urgence, que ce soit après un événement soudain et imprévisible comme un traumatisme lié à une cause extérieure ou qu’il s’agisse d’une demande de rendez-vous postopératoire en urgence par un patient opéré récemment.
En ce sens, nous déplorons encore malheureusement des retards de prise en charge pour des endophtalmies postopératoires ou des infections nosocomiales avec les conséquences juridiques qui en découlent. Il s’agit de la notion de responsabilité sans faute de l’établissement de soins où la chirurgie a été pratiquée. Bien sûr, en cas de gestion qualifiée par l’expert de « négligente » à l’égard de l’ophtalmologiste libéral ou hospitalier, une perte de chance sera imputée au chirurgien. Elle viendra alléger la notion de responsabilité sans faute de l’établissement de soins.
Mise en cause de la responsabilité civile professionnelle des ophtalmologistes
Les sinistres mettant en cause la responsabilité civile professionnelle des ophtalmologistes peuvent être gérés de trois manières :
-
à l’amiable ;
-
devant les CCI ;
-
devant les tribunaux dans le cadre de procédures judiciaires après assignations en référé.
Le nombre de mises en cause est globalement stable au cours de ces dernières années, mais l’importance relative des CCI augmente par rapport aux procédures judiciaires. En revanche, les sommes allouées aux patients sont plus importantes par les tribunaux (76 000 euros en moyenne) que par les CCI.
Deux cas cliniques illustrent une mise en cause toujours possible de la responsabilité civile professionnelle des ophtalmologistes dans le cadre de l’urgence.
Nous présentons ces deux exemples représentatifs de traumatismes oculaires, cause fréquente d’une consultation en urgence.
Un patient né en 1962, âgé de 19 ans, ressent une piqûre dans l’œil gauche avec perception d’une étincelle alors qu’il tape sur une pièce métallique avec un marteau.
Il consulte le jour même un ophtalmologiste libéral qui lui prescrit un traitement local par antibiocorticoïdes et anti-inflammatoires non stéroïdiens et lui demande de consulter pour contrôle 3 jours plus tard.
Le patient déclare être reparti travailler le jour même ainsi que le lendemain, avec une sensation de baisse d’acuité visuelle. Il consulte donc à 48 heures, sans attendre le contrôle prévu à 72 heures du traumatisme ; une endophtalmie est découverte amenant à une hospitalisation immédiate au centre hospitalier universitaire (CHU) le plus proche.
Après une hospitalisation d’une dizaine de jours avec un traitement énergique et intensif, associant injections intravitréennes, vitrectomie et bithérapie antibiotique intraveineuse, l’évolution finale est péjorative avec évolution du globe vers une atrophie nécessitant une éviscération avec mise en place d’une prothèse oculaire dans les suites.
L’ophtalmologiste ayant examiné le patient en urgence initialement n’avait pas la notion d’un corps étranger possible, mais simplement celle d’une contusion oculaire et initialement, le patient ne présentait ni douleur, ni photophobie, ni hémorragie sous-conjonctivale, ni plaie visible, ni pôle postérieur modifié au fond d’œil. Il n’y a pas eu de dilatation pupillaire et aucun bilan radiologique n’a été demandé.
Il s’est donc produit une méconnaissance d’un corps étranger intra-oculaire avec évolution vers une endophtalmie.
Devant un accident de travail, il faut toujours évoquer cette possibilité de corps étranger en faisant réaliser une radiographie standard du crâne avec transfert immédiat en centre spécialisé pour exploration d’une plaie du globe devant un corps étranger intra-oculaire.
De même, la vaccination doit être vérifiée.
L’expert a retenu une faute professionnelle manifeste par le fait de ne pas avoir poussé l’interrogatoire, de s’être contenté d’un examen succinct sans dilatation pupillaire et d’avoir omis de réaliser un examen radiologique.
Certes, le pronostic des corps étrangers intra-oculaires n’est pas forcément bon même lorsque le diagnostic est fait immédiatement mais dans le cas présent, une évolution spontanée péjorative par endophtalmie s’est produite.
La prise en charge de cette DSNPO ne nécessitait pas forcément un examen complet mais au minimum ciblé en fonction du contexte et de la symptomatologie. Ici, il était indispensable de pouvoir attester dans le dossier médical d’une anamnèse complète, d’un examen ciblé incluant acuité visuelle initiale (accident du travail), biomicroscopie antérieure et postérieure, tonus oculaire et exploration de première ligne dans ce contexte (recherche d’un corps étranger radio-opaque).
Ce second cas clinique rapporte également un corps étranger métallique passé inaperçu.
Un jeune patient reçoit, sur son lieu de travail, une projection d’un éclat métallique au niveau de l’œil droit en juillet 2012 en tapant avec un marteau sur un engrenage.
Il consulte aux urgences de l’hôpital le plus proche et est examiné par un médecin généraliste urgentiste lui conseillant de voir un ophtalmologiste le lendemain si la gêne visuelle persiste.
Du fait des douleurs, le patient consulte le jour même aux urgences ophtalmologiques de l’hôpital régional où il est examiné par un jeune interne qui n’aurait demandé ni l’avis d’un senior ni un bilan radiographique.
Le patient reprend son travail après 5 jours de traitement local par collyres. La gêne persistant, il consulte deux ophtalmologistes libéraux de deux cabinets différents à 3 mois puis 5 mois du traumatisme qui prescrivent des collyres mouillants et ne demandent pas non plus de bilan radiologique.
Le patient déménageant, il consulte un nouveau médecin généraliste pour un œil droit rouge et douloureux à 7 mois de l’accident initial. Le médecin traitant demande une radiographie qui permet de mettre en évidence un corps étranger métallique intra-oculaire.
Un électrorétinogramme est pratiqué montrant une sidérose, le patient est alors opéré avec ablation de son corps étranger métallique par vitrectomie. Dans les suites, il est opéré de sa cataracte en ambulatoire avec une récupération visuelle excellente, mais l’électrorétinogramme reste perturbé sans aggravation ultérieure. Le patient présente également une hypertonie oculaire post-traumatique, traitée par collyres.
La récupération finale est de 10/10 faible Parinaud 2 avec correction.
Le patient a mis en cause les deux services hospitaliers initiaux – l’hôpital général qui ne disposait pas d’urgence ophtalmologique, et l’hôpital régional qui possédait des urgences ophtalmologiques où il avait été examiné par un interne – ainsi que les deux ophtalmologistes libéraux vus 3 et 5 mois plus tard, le diagnostic ayant été établi 7 mois après le traumatisme initial par son médecin traitant.
Le rapport d’expertise a conclu à une faute médicale des deux services hospitaliers consultés le jour même de l’accident ainsi qu’à une faute médicale des deux ophtalmologistes libéraux ayant examiné le patient à 3 et 5 mois, sans pousser l’interrogatoire, sans savoir si une radiographie avait été faite.
Le rapport d’expertise a conclu à des soins ni consciencieux, ni diligents, ni attentifs, ni conformes aux données acquises de la science.
L’accident de travail a entraîné donc une sidérose en lien direct et certain avec le retard diagnostique et l’absence de réalisation d’une radiographie initiale. La cataracte constatée était la conséquence du corps étranger lui-même et de la vitrectomie.
La perte de chance de la survenue de la sidérose était en lien de causalité direct, unique et certain avec un manquement réparti en 60 % de responsabilité pour le centre hospitalier régional disposant des urgences ophtalmologiques, 20 % pour le centre hospitalier général ne disposant que d’urgences sans consultation ophtalmologique et 20 % pour les ophtalmologistes libéraux ayant examiné le patient à distance de l’accident.
Heureusement, l’évolution finale a été favorable avec un taux d’atteinte à intégrité physique et psychologique de 5 % en rapport avec les manquements invoqués en excluant les séquelles liées à l’accident initial. En effet, la perte d’accommodation due au port d’un implant cristallinien était imputable à l’accident initial et non aux soins critiqués. Seule la survenue de la sidérose responsable d’un taux d’incapacité permanente partielle (IPP) de 5 % était donc imputable aux manquements des différents professionnels de santé.
Nous avons donc rapporté deux cas cliniques attirant essentiellement l’attention sur les traumatismes oculaires. Néanmoins, il est nécessaire d’attirer l’attention des ophtalmologistes sur la prise en charge des opérés récents, qu’il s’agisse d’opérés par le médecin sollicité pour une consultation en urgence ou d’un opéré récent par un autre praticien. En effet, la gestion des consultations en urgence ne concerne pas uniquement le praticien, mais la gestion complète du cabinet.
En première ligne, on retrouve les secrétaires médicales qui doivent être formées à l’interrogatoire du patient, que le patient soit présent physiquement devant elles ou au téléphone. Interroger ce dernier pour savoir s’il a bénéficié récemment d’une chirurgie est indispensable. Tout patient opéré récent devra être examiné immédiatement que l’ophtalmologiste consulté soit l’opérateur ou non.
En cas d’impossibilité de recevoir le patient rapidement, il sera nécessaire de l’orienter et vérifier que ce dernier a bien été orienté vers la SUO du CHU le plus proche.
Au total, il est particulièrement difficile d’obtenir des statistiques exploitables concernant le nombre de sinistres ou de déclarations de sinistres en responsabilité civile professionnelle imputables à une DSNPO, qu’il s’agisse de consultations hospitalières ou de consultations dans les cabinets libéraux.
Les corps étrangers intra-oculaires méconnus peuvent être responsables de très lourds dommages et doivent être gardés à l’esprit de tout ophtalmologiste acceptant d’examiner un patient en urgence.
Tout patient opéré récent sollicitant un rendez-vous non programmé devra également être prioritaire. Il devra être reçu sans délai ou être adressé vers la SUO du CHU le plus proche. Ceci assure notamment de prendre en charge dans les meilleures conditions une éventuelle endophtalmie débutante ou une infection nosocomiale. Cette dernière engage la responsabilité sans faute de l’établissement de soins. Cependant, cette responsabilité est souvent partagée avec le chirurgien ou le praticien concerné lorsqu’il est constaté une prise en charge trop tardive de la DSNPO, induisant une perte de chance de récupération visuelle.
Bien sûr, d’autres motifs de consultation en urgence peuvent être source d’évolution vers une procédure pour mise en cause de la responsabilité civile professionnelle de l’ophtalmologiste. Il peut s’agir d’un retard de prise en charge de décollement postérieur du vitré avec évolution péjorative en décollement de rétine, d’un retard de prise en charge d’une poussée exsudative de dégénérescence maculaire liée à l’âge, d’un strabisme aigu chez un enfant ou toute autre pathologie justifiant une DSNPO.
[1] Gombault N. Risque des professions de santé-ophtalmologie. Rapport annuel sur le risque en santé de la MACSF. 2016. En ligne : https://www.macsf-exerciceprofessionnel.fr/Rapport-annuel-sur-le-risque-en-sante/Risque-des-professions-de-sante/Ophtalmologie
[2] Ameline V. Sinistralité libérale en 2012 : état des lieux. Pratiques en Ophtalmologie 2014 ; 8 : 112‑6.
Valorisation des soins d’urgence
B. COCHENER-LAMARD
La population française croissante s’oppose à celle décroissante des ophtalmologistes, aggravée par une répartition très hétérogène du maillage médical de la spécialité. Cette évolution explique l’augmentation de la part des urgences générales relevant de l’ophtalmologie (voir chapitre 2.3) [1–6]. La moyenne d’âge des ophtalmologistes était, en 2015, de 54,4 ans, avec dans le monde libéral seulement moins de 12,7 % ayant moins de 40 ans et 35 % ayant plus de 60 ans. Sur le plan de la répartition des activités, la pratique de l’ophtalmologie est libérale à 65 %, salariée pour 13 % et mixte à 22 %. Le seuil de fonctionnement minimal d’une prise en charge de la population serait de 8/100 000 (rapport 2011 du Syndicat national des ophtalmologistes français). Passés en dessous de cette valeur plancher, on constate un allongement des délais de consultation, voire un non-accès aux soins dans les zones de grande pénurie.
Dans ce contexte, la permanence des soins (PDS) quotidienne associée au mode d’astreinte de nuit et de week-end est une nécessité pour la gestion des demandes de soins non programmés d’ophtalmologie (DSNPO) et des items d’urgence ophtalmologique. Cela impose dans le même temps une régulation des flux afin d’optimiser la prise en charge. Ce sous-chapitre expose la valorisation des DSNPO par le système de santé.
La mise en place de la tarification à l’activité ou T2A (2004) a instauré dans les hôpitaux un financement à l’activité tel que dans le monde libéral. Elle est un élément central de la gouvernance hospitalière depuis 2005. Ce mode de financement construit un cadre unique de facturation et de paiement pour l’activité hospitalière des établissements de santé public et privé, quels que soient le statut et la spécialité. L’allocation des ressources est fondée à la fois sur la nature et le volume d’activité. En d’autres termes, la logique de moyens a été remplacée par une logique de résultats. La dotation globale (enveloppe annuelle) a cédé la place à l’allocation des ressources pour les activités MCOO (médecine, chirurgie, obstétrique, odontologie), en fonction du volume et de la nature des activités. Les ressources sont calculées à partir d’une estimation d’activité et donc de recettes. Le prix de chaque activité est fixé par l’assurance maladie selon le lien groupe homogène de maladie (GHM)/groupe homogène de séjour (GHS). À chaque GHM correspondent un ou plusieurs GHS, qui sont la traduction tarifaire du GHM. À chacun de ces GHS est affecté un tarif, fixé au niveau national. Ces tarifs sont modulés par une batterie de suppléments (voir annexe 3-2-1) qui pondèrent le niveau de recettes perçu par chaque établissement en fonction des caractéristiques de la prise en charge hospitalière des patients.
Circulaire CIR-24/2017
Le domaine de l’urgence appartient aux facturations complémentaires associées aux GHS. Les autres facturations complémentaires sont l’hémodialyse, la radiothérapie, les dispositifs implantables, les médicaments onéreux, l’hospitalisation à domicile (HAD), les actes externes et les consultations.
Les services d’urgence sont budgétisés selon la loi n° 2003-1 199 de financement de la Sécurité sociale de 2004 sur la base du regroupement suivant (fig. 3-2-1) :
- –
les GHS pour les consultations suivies d’hospitalisation ;
- –
la facturation à l’acte pour les consultations non suivies d’hospitalisation. Leur montant est égal au prix de la consultation ou de l’acte auquel s’ajoutent des majorations (accueil et traitement des urgences, nuit, week-end, nourrisson, etc.) sous le label « accueil et traitement des urgences » (ATU). Viennent s’y ajouter les actes externes (petites chirurgies et actes techniques médicaux) (voir annexe 3-2-1);
- –
le forfait annuel urgences (FAU), qui dépend du nombre de majorations ATU facturées lors de l’année précédente.
Si le passage dans la structure fait l’objet d’une consultation spécialisée (CS), parfois adressée (C2, C3) ou cotation selon la nomenclature en vigueur, elle peut se majorer du code « accueil et traitement des urgences » (ATU) et des actes techniques médicaux (ATM) ou de petite chirurgie (APC). Le forfait est dû pour chaque passage aux urgences non programmé, non suivi d’une hospitalisation, mais n’est pas facturable lorsqu’un patient est reconvoqué ultérieurement. Une dotation forfaitaire annuelle urgences (FAU) est attribuée en fonction du nombre d’ATU réalisés par la structure. Si le passage entraîne une admission en hospitalisation conventionnelle (HC), en unité de courte durée (UHCD/hospitalisation de jour), l’urgence est valorisée sur la base d’un groupe homogène de séjour (GHS). POSU : pôle spécialité urgence ; SAU : service d’accueil des urgences ; UPATOU : unité de proximité d’accueil, de traitement et d’orientation des urgences.
Au total, l’urgence d’ophtalmologie, comme l’urgence générale, bénéficie d’une prise en charge spécifique autorisant des majorations en fonction des heures et jours de venue. La prise en compte d’une nouvelle tranche dans le FAU évite une perte financière notable. L’introduction d’une filière courte permet de faire le lien entre la médecine libérale et l’hospitalisation [7]. Elle améliore aussi les délais et durées de prise en charge et, par là même, la satisfaction de la population. Sa valorisation repose sur le GHM et GHS. En secteur libéral, la cotation MCU peut s’associer à celle d’une consultation. De plus, le modificateur CCAM « O » et « U » s’associe à un acte réalisé en urgence par les chirurgiens ophtalmologues selon les modalités conventionnelles en vigueur.
Il s’agit d’un tarif fixé nationalement et d’un montant fixe quel que soit le type de prise en charge. Il n’est cependant pas cumulable avec la facturation d’un GHS et correspond à un forfait annuel.
Ainsi, l’activité officielle de prise en charge de l’urgence bénéficie d’un complément de financement sous la forme d’un forfait annuel calculé à partir du nombre de passages aux urgences annuels.
En pratique, le système de financement est mixte avec :
- –
le FAU pour chaque service d’urgence autorisé, lui permettant de couvrir ses charges minimales de fonctionnement. Il est proportionnel au volume d’activité du service, avec une dotation de base établie pour une activité de 12 500 passages par an et augmentée d’un certain montant par palier supplémentaire de 5 000 passages ;
- –
le tarif par passage MCU, dès lors que celui-ci n’est pas suivi d’une hospitalisation (médecine, chirurgie, obstétrique ou MCO) dans l’établissement concerné. Si une hospitalisation est requise, les charges sont alors intégrées dans le tarif GHS des séjours MCO ;
- –
la rémunération des consultations et actes externes réalisés (radiologie, biologie, actes opératoires, actes techniques médicaux) via l’application de la nomenclature des actes ;
- –
le recours possible à un financement par la mission d’intérêt général et d’aide à la contractualisation (MIGAC). Il intervient notamment pour les services d’urgence ayant un faible niveau d’activité mais dont le maintien permet d’assurer une couverture sanitaire satisfaisante. Il valorise la proximité des soins dans les zones à faible densité de population.
Ce mécanisme de financement en vigueur dans les hôpitaux depuis 2004 est appliqué depuis 2001 dans le secteur privé à but lucratif (encadré par la mise en place d’objectifs quantifiés nationaux ou OQN). Le mode de calcul et les montants respectifs des FAU et AU dans les cliniques ont fait l’objet d’une révision afin d’harmoniser les deux secteurs public et privé. Elle a tenu compte des différences objectives de charges entre les services d’urgence des deux secteurs, en particulier la nouvelle réglementation sur le temps de travail des médecins praticiens hospitaliers. Le montant du tarif facturé au patient par passage est désormais identique entre les établissements publics et privé.
Des contrôles spécifiques sont prévus pour vérifier la qualité de prise en charge et leur caractère adapté, afin de discuter les autorisations et évaluer les prestations réalisées [8].
Même si l’on parle plutôt du label global de « service des urgences », toutes les structures ne peuvent pas prétendre à ces modalités spécifiques de financement. Ainsi, s’ils ne disposent pas d’une autorisation, les services qui proposent une activité non programmée (en gynéco-pédiatrie, pédiatrie, cardiologie, service grands brûlés, etc.), les centres psychiatriques et de séjour en surveillance de courte durée facturent sur la base d’un tarif GHS. L’ophtalmologie, de son côté, peut bénéficier de cette réforme de la tarification à l’activité, en faisant valoir une activité identifiée à l’urgence en termes de nature et volume.
Les conditions techniques de fonctionnement définies par le décret de 22 mai 2006 ne fixent pas un effectif précis, mais indiquent juste qu’il doit être « adapté » au nombre de passages de patients dans la structure et au nombre de sorties du service mobile d’urgence et de réanimation (SMUR). Cependant, il est précisé que l’effectif de la structure des urgences doit comprendre « un nombre de médecins suffisant pour qu’au moins l’un d’entre eux soit présent en permanence, […] un nombre d’infirmiers suffisant pour qu’au moins l’un d’entre eux soit présent en permanence et, si l’activité le justifie, un infirmier [qui] assurera la fonction d’accueil et d’organisation de la prise en charge ».
Les locaux requis et leur aménagement sont également précisés dans les textes. Le financement public de l’activité est conditionné au respect de ces textes (voir chapitre 2.1 et chapitre 2.5.1).
Dans le décret du 22 mai 2006 relatif aux conditions techniques de fonctionnement applicables aux structures de médecine d’urgence et modifiant le Code de la santé publique, il est stipulé que la structure doit disposer d’une salle d’accueil préservant la confidentialité, d’un espace d’examen et de soins, d’une salle d’urgences vitales et d’une unité d’hospitalisation de courte durée comportant au moins deux lits. De plus, les locaux doivent disposer d’un accès pour handicapés, mais aussi d’une capacité d’accueil de personnes en garde à vue. Enfin, elle doit être prévue pour une arrivée en masse en cas de plan blanc pour catastrophe.
Dans la continuité de la circulaire 2003 portant sur l’organisation des urgences, le décret du 22 mai 2006 attribue la responsabilité de la gestion de l’urgence à l’établissement sur les plans diagnostic et thérapeutique.
Selon les cas, la prise en charge du patient pourra se faire aux différents niveaux : structure d’urgence, unité d’hospitalisation de courte durée, un autre service de l’établissement voire un autre établissement en liaison avec le service d’aide médicale urgent (SAMU) ou le médecin de ville. Les établissements sont également en charge de la coordination du parcours du patient entre les différentes structures médicalisées.
Il est à noter qu’en cas de patient ne nécessitant pas une prise en charge par la structure d’urgence, son orientation vers un autre service de soins ou médico-social reposera sur une convention inter-établissements.
Tous les services hospitaliers rendent compte de la disponibilité de leurs lits d’hospitalisation qui contribuent à l’hébergement des patients des services d’urgence.
Par ailleurs, la création d’un registre informatisé est une obligation pour toutes les unités d’urgence. Il doit être tenu à jour et recenser : l’identité des patients, leur jour et heure d’arrivée mais aussi de sortie ou de transfert hors de la structure des urgences. Ajoutons qu’une fiche de dysfonctionnement sur un modèle établi par le ministère de la Santé doit être utilisée en cas de problème quelconque d’organisation ou de prise en charge.
Ce forfait « accueil et traitement des urgences » (ATU) s’applique donc aux établissements MCOO tarifés à l’activité et autorisés à exercer une activité d’accueil des urgences [9]. Il s’ajoute aux tarifs de la consultation, des actes et de leurs majorations éventuelles (encadré 3-2-1). FLOAT NOT FOUND
Il n’est donc pas cumulable avec un forfait « sécurité environnement » (SE), ni avec le forfait « de petit matériel » (FFM), ni avec le GHS.
Son tarif s’élève à 25,28 € (arrêté du 27 février 2008 fixant pour l’année 2008 les ressources d’assurance maladie des établissements de soins exerçant une activité de médecine, chirurgie, obstétrique et odontologie).
Dans les hôpitaux publics, le forfait ATU est facturable selon le statut du patient. Chez les assurés sociaux, le ticket modérateur définit (selon une décision de l’Union nationale des caisses d’assurance maladie ou Uncam) un taux de 15 à 25 % s’appliquant aux actes et consultations accompagnant la majoration ATU, conduisant à une valorisation de l’activité se situant entre 75 et 85 % pour ce qui concerne la part prise en charge par l’assurance maladie. Le but est de valoriser l’activité prise en charge par l’assurance maladie tout en connaissant l’ensemble de l’activité ayant donné lieu à la majoration ATU. Pour les patients relevant des conventions internationales (Union européenne ou hors Union européenne), ces forfaits ne sont pas facturables et les patients ne sont redevables que des actes, au moins jusqu’à ce que l’Uncam se prononce sur un taux de ticket modérateur applicable. Enfin, pour les non-assurés sociaux (étrangers hors conventions internationales, payants) les majorations ATU sont facturables à 100 % pour les patients reçus depuis le 25 février 2009, en application du décret du 23 février 2009, qui prévoit l’exclusion des majorations ATU, FFM et SE du calcul des tarifs journaliers de prestation.
Dans les établissements privés, la majoration ATU et les actes sont facturables à l’assurance maladie pour les patients assurés sociaux, avec un ticket modérateur de 20 %, et aux patients intégralement.
En plus de la majoration ATU, il existe le ticket modérateur forfaitaire (TMF) de 18 € à la charge des assurés sociaux pour les actes qui leur sont dispensés en consultation externe ou au cours d’une hospitalisation à la condition que :
- –
leur tarif soit égal ou supérieur à 91 € dans la classification commune des actes médicaux (CCAM) ;
- –
ou le coefficient soit égal ou supérieur à 50 dans la nomenclature générale des actes professionnels (NGAP).
Cette participation forfaitaire s’applique même en présence d’une majoration ATU (FFM et SE). Dans ce cas, si une majoration ATU est associée à des actes, le TMF de 18 € doit être déduit de la ligne ATU et non des actes sur les factures transmises à l’assurance maladie.
Rappelons le lien entre ATU et FAU (établi pour couvrir les charges fixes : matériels, personnels, etc.) : le FAU dépend du nombre de passages aux urgences aboutissant à la facturation d’une majoration ATU.
Encadré 3-2-1
-
Une seule majoration ATU est facturable par passage.
-
Elle est applicable :
-
si le passage aux urgences est non programmé ;
-
lorsqu’elle est cumulée aux tarifs de la consultation, des actes et de leurs majorations éventuelles.
-
-
Elle n’est pas applicable :
-
si le passage aux urgences est suivi d’une hospitalisation dans le même établissement ;
-
si l’établissement touche le forfait SE, le forfait FFM ou un GHS pour le patient concerné ;
-
si le patient est reconvoqué ultérieurement dans le même établissement.
-
En mars 2016, un arrêté définissant un lissage du financement FAU sur 4 ans a été pris et modifié en mars 2017. Il s’agit d’une évolution transitionnelle vers un nouveau modèle de financement fondé sur les travaux des sociétés savantes tels qu’en particulier leur référentiel de moyens. Les grands principes sont inchangés : dotation fixe (FAU) et majorations forfaitaires ATU. La dotation varie en fonction du nombre d’ATU facturés. Ainsi, la FAU 2017 se calcule en trois étapes :
- –
étape 1 : la dotation FAU s’appuie sur le modèle de tarification forfaitaire antérieure. À partir de 80 000 ATU, le forfait est majoré de 171 652 € pour chaque tranche de 2500 ATU supplémentaires. Ce montant correspond au forfait 1 (tableau 3-2-1) ;
Tableau 3-2-1Forfait n° 1.Passages donnant lieu à la facturation d'un forfait ATU Forfait < 5 000 471 306 5 000–7 500 636 263 7 500–10 000 801 220 10 000–12 500 966 177 12 500–15 000 1 131 134 15 000–17 500 1 296 091 17 500–20 000 1 467 743 20 000–22 500 1 639 395 22 500–25 000 1 811 047 25 000–27 500 1 982 698 27 500–30 000 2 154 350 30 000–32 500 2 326 002 32 500–35 000 2 497 654 35 000–37 500 2 669 306 37 500–40 000 2 840 958 40 000–42 500 3 012 610 42 500–45 000 3 184 262 45 000–47 500 3 355 913 47 500–50 000 3 527 565 50 000–52 500 3 699 217 52 500–55 000 3 870 869 55 000–57 500 4 042 521 57 500–60 000 4 214 173 60 000–62 500 4 385 825 62 500–65 000 4 557 477 65 000–67 500 4 729 129 67 000–70 000 4 900 780 70 000–72 500 5 072 432 72 500–75 000 5 244 084 75 000–77 500 5 415 736 77 500–80 000 5 587 388 (Source: Journal Officiel de la République française du 17 mars 2017, arrêté du 13 mars 2017 fixant pour l'année 2017 les éléments tarifaires mentionnés aux I et IV de l'article L. 162-22-10 du Code de la sécurité sociale, pages 297 et 298.) - –
étape 2 : la part fixe est cette fois-ci fixée à 730 000 € en dessous de 9000 ATU, et 943 292 € entre 9000 et 11 000 ATU. Ensuite, le forfait est majoré de 163 292,18 € pour chaque tranche de 2500 ATU supplémentaires. Ce montant correspond au forfait 2 (tableau 3-2-2) ;
Tableau 3-2-2Forfait n° 2.Passages donnant lieu à la facturation d'un forfait ATU Forfait < 9 000 730 000 [9 000, 11 500] 943 292 -
À partir de 11 500 ATU, le forfait est majoré de 163 292,18 € pour chaque tranche de 2500 ATU supplémentaires.
-
Pour l'année 2017, le montant du forfait FAU est déterminé, pour chaque établissement entendu au sens d'entité juridique, comme suit:montant calculé en application du tableau n° 1 + [40 % × (montant calculé, pour chaque entité géographique, en application du tableau n° 2 – montant calculé en application du tableau n° 1)]
(Source: Journal Officiel de la République française du 17 mars 2017, arrêté du 13 mars 2017 fixant pour l'année 2017 les éléments tarifaires mentionnés aux I et IV de l'article L. 162-22-10 du Code de la sécurité sociale, pages 297 et 298.) -
- –
étape 3 : le montant final du forfait FAU 2017 est déterminé, pour chaque établissement au sens « entité géographique » selon la méthode suivante : FAU 2017 = forfait 1 + [40 % (forfait 2 – forfait 1)].
Ainsi, pour un établissement comptabilisant 7000 ATU, le forfait 1 correspond à 471 306 € et le forfait 2 à 730 000 €, soit 93 737 € de plus. La dotation 2016 correspond à : 350 943 € (ancien modèle) + 0,1 × 53 274 € (transition vers le forfait 2) = 356 270 €.
Pour un établissement comptabilisant cette fois-ci 8000 ATU, le forfait 1 correspond alors à 431 972 € et le forfait 2 à 404 217 €. La dotation 2017 correspond à : 471 306 € (ancien modèle) – 0,4 × 93 737 € (transition vers le forfait 2) = 508 800 €.
L’objet d’une telle formule est de lisser les effets revenus entre les deux modèles de financement des FAU.
Une plus forte pondération du nouveau modèle (forfait 2) dans ce calcul est prévue et devrait s’échelonner sur les trois années 2017, 2018 et 2019.
Dans tous les cas, ce forfait est attribué à la structure des urgences validée ou plus exactement au pôle auquel elle est rattachée au sein des hôpitaux ou au centre de santé (unique ou groupe d’établissements) en secteur privé.
En synthèse, la PDS en ophtalmologie mérite d’exister. Elle paraît même essentielle à la valorisation de l’activité des urgences. Elle exige la mise à disposition d’un plateau technique adapté et la possibilité de recourir au spécialiste ophtalmologiste.
La mise en place des mesures d’accréditation est une voie ouverte pour l’installation d’une politique d’assurance qualité dans les services d’urgence.
[1] Henriot C. Étude descriptive et épidémiologique au CHU de Besançon [thèse de médecine]. Besançon : faculté de médecine Ambroise-Paré ; 2015.
[2] Girard B, Bourcier F, Agdabede I, Laroche L. Activité et épidémiologie d’un centre d’urgence en ophtamologie. J Fr Ophtalmol 2002 ; 25 : 701‑11.
[3] Sánchez Tocino H, Galindo Ferreiro A, Iglesias Cortiñas D, et al. Epidemiologic study of ocular emergencies in a general hospital. Arch Soc Esp Oftalmol 2004 ; 79 : 425‑31.
[4] Nash EA, Margo CE. Patterns of emergency department visits for disorders of the eye and ocular adnexa. Arch Ophthalmol 1998 ; 116 : 1222‑6.
[5] Edwards RS. Ophthalmic emergencies in a district general hospital casualty department. Br J Ophthalmol 1987 ; 71(12) : 938‑42.
[6] Ezra DG, Mellington F, Cugnoni H, Westcott M. Reliability of ophthalmic accident and emergency referrals : a new role for the emergency nurse practitioner ? Emerg Med J 2005 ; 22(10) : 696‑9.
[7] Référentiel SFMU. Critère d’évaluation des services d’urgences. Septembre 2006. En ligne : http://www.sfmu.org/upload/referentielsSFMU/audit.pdf
[8] Felten E. Mise en place d’une démarche qualité au service d’accueil des urgences du CHU de Nancy [thèse de médecine]. Nancy : université Henri-Poincaré ; 2001.
[9] Ministère des Solidarités et de la Santé. Financement des établissements de santé. En ligne : http://solidarites-sante.gouv.fr/professionnels/gerer-un-etablissement-de-sante-medicosocial/financement/financement-des-etablissements-de-sante-10795/article/financement-desetablissements-de-sante
Annexe II de la circulaire DHOS/F2/F3/F1/DSS/1A/2008/82 du 03 mars 2008 relative à la campagne tarifaire 2008 des établissements de santé.
Arrêté du 23 janvier 2008 relatif aux modalités de versement des ressources des établissements publics de santé et des établissements de santé privés mentionnés aux b et c de l’article L. 162‑22‑6 du Code de la sécurité sociale par les caisses d’assurance maladie mentionnées à l’article L. 174‑1 du Code de la sécurité sociale.
Arrêté du 22 février 2008 relatif au recueil et au traitement des données d’activité médicale et des données de facturation correspondantes produites par les établissements de santé ayant une activité de médecine, chirurgie, obstétrique, odontologie et à la transmission d’informations issues de ce traitement, dans les conditions définies à l’article L. 6113‑8 du Code de la santé publique, modifié par l’arrêté du 20 janvier 2009.
Arrêté du 27 février 2008 fixant pour l’année 2008 les ressources d’assurance maladie des établissements de soins exerçant une activité de médecine, chirurgie, obstétrique et odontologie.
Arrêté du 19 février 2009 relatif à la classification et à la prise en charge des prestations d’hospitalisation pour les activités de médecine, chirurgie, obstétrique et odontologie pris en application de l’article L. 162‑22‑6 du Code de la sécurité sociale.
Arrêté du 27 février 2009 fixant pour l’année 2009 les ressources d’assurance maladie des établissements de soins exerçant une activité de médecine, chirurgie, obstétrique et odontologie.
Arrêté du 10 février 2010 modifiant l’arrêté du 19 février 2009 relatif à la classification et à la prise en charge des prestations d’hospitalisation pour les activités de médecine, chirurgie, obstétrique et odontologie pris en application de l’article L. 162‑22‑6 du Code de la sécurité sociale.
Arrêté du 4 mars 2016 fixant pour l’année 2016 les éléments tarifaires mentionnés aux I et IV de l’article L. 162‑22‑10 du Code de la sécurité sociale. Circulaire DH.DGS-90.326 du 15 février 1990 relative à l’amélioration de l’accueil des urgences.
Circulaire DH.4B/D.G.S. 3E/91 – 34 du 14 mai 1991 relative à l’amélioration des services d’accueil des urgences dans les établissements hospitaliers à vocation générale : guide d’organisation.
Circulaire DH/EO/2000/218 du 20 avril 2000 relative à la programmation budgétaire pour le renforcement des moyens des services d’urgence hospitalière dans les établissements de santé. Répartition de la dotation complémentaire 2000.
Circulaire DHOS/2001 no 433 du 10 septembre 2001 relative au projet de mise en oeuvre progressive d’un financement propre aux urgences dans les établissements de santé.
Circulaire no 195/DHOS/01/2003 du 16 avril 2003 relative à la prise en charge des urgences.
Circulaire DHOS/F1/F4/2007/105 du 21 mars 2007 relative à la généralisation de la suppression du taux de conversion.
Code de la sécurité sociale. Articles L. 162‑22‑6, L. 162‑22‑10 et L. 162‑26 relatifs aux frais d’hospitalisation afférents aux activités de médecine, chirurgie, obstétrique et odontologie des établissements de santé.
Code de la sécurité sociale. Articles R. 162‑32, R. 162‑32‑1, R. 162‑51, R. 322‑1 et décret no 2009‑213 du 23 février 2009 relatifs aux objectifs des dépenses d’assurance maladie et portant diverses dispositions financières relatives aux établissements de santé.
Décret 95‑647 du 9 mai 1995 relatif à l’accueil et au traitement des urgences dans les établissements de santé et modifiant le Code de la santé publique (deuxième partie : décrets en Conseil d’État). Journal Officiel, 10 mai 1995, no 109 : 7686.
Décret 95‑648 du 9 mai 1995 relatif aux conditions techniques de fonctionnement auxquelles doivent satisfaire les établissements de santé pour être autorisés à mettre en oeuvre l’activité de soins accueil et traitement des urgences et modifiant le Code de la santé publique (troisième partie : décrets).
Décret 97‑615 du 30 mai 1997 relatif à l’accueil et au traitement des urgences dans les établissements de santé ainsi qu’à certaines modalités de préparation des schémas d’organisation sanitaire et modifiant le Code de la santé publique (deuxième partie : décrets en Conseil d’État).
Décret 97‑619 du 30 mai 1997 relatif à l’autorisation des services mobiles d’urgence et de réanimation et modifiant le Code de la santé publique (deuxième partie : décrets en Conseil d’État).
Décret du 22 mai 2006 relatif à la médecine d’urgence et modifiant le Code de la santé publique, Journal Officiel, 23 mai 2006, texte no 11. En ligne : www.legifrance.gouv.fr/ WAspad/UnTexteDeJorf?numjo=SANH0620664D
Décret du 22 mai 2006 relatif aux conditions techniques de fonctionnement applicables aux structures de médecine d’urgence et modifiant le Code de la santé publique. Journal Officiel, 23 mai 2006, texte no 12. En ligne : www.legifrance.gouv.fr/WAspad/UnTexte DeJorf?numjo=SANH0620665D
Loi no 2003‑1199 du 19 décembre 2003 de financement de la Sécurité sociale pour 2004 (article 33).
Révision des schémas régionaux d’organisation sanitaire. Bulletin Officiel, 98/10 bis.
Enseignement de l’urgence en ophtalmologie
C. CHIQUET, J.-L. BOURGES, P.-Y. ROBERT
L’apprentissage de la gestion des urgences diagnostiques et thérapeutiques en médecine est une priorité pédagogique depuis que l’enseignement existe, dans sa modalité théorique et pratique (stages, compagnonnage, mise en situation). En corollaire, la maîtrise de la gestion de l’urgence implique des connaissances pointues dans tous les domaines de la spécialité. L’enseignement de la gestion des urgences doit donc intervenir à deux niveaux : d’une part, l’apprentissage d’algorithmes spécifiques à la prise en charge aiguë tout-venant ; d’autre part, l’apprentissage pour chaque pathologie des situations qui peuvent relever d’une prise en charge urgente.
Des algorithmes décisionnels existent dans le domaine du bilan lésionnel, du bilan étiologique et des modalités thérapeutiques. Cet apprentissage est absolument nécessaire puisqu’il conditionne l’ensemble de la conduite à tenir, engage l’efficacité de la prise en charge et du diagnostic vers le traitement dans un délai de temps souvent très court. Ainsi, les arbres décisionnels prennent toute leur importance et impliquent la réalisation dans certains cas d’examens complémentaires spécifiques ophtalmologiques ou systémiques.
L’ensemble de ces dimensions est appréhendé au cours de l’enseignement initial d’ophtalmologie ou, pour les internes, dans le cadre d’un diplôme d’études spécialisées (DES) sous trois formes : l’enseignement théorique, l’enseignement pratique et la simulation.
L’enseignement de l’urgence en ophtalmologie est actuellement dispensé par les responsables universitaires (professeur des universités, maître de conférences des universités, praticien hospitalo-universitaire), aidées des chefs de clinique – assistants des hôpitaux et des praticiens hospitaliers au niveau :
- –
régional : coordonnateur régional d’un centre hospitalier régional universitaire ;
- –
interrégional : coordonnateur interrégional avec sept régions en France (Sud-Est, Auvergne-Rhône-Alpes, Sud-Ouest, Est, Île-de-France, Nord-Ouest et Nord) ;
- –
national : Conseil national des universités (CNU), Collège des ophtalmologistes universitaires de France (COUF), Coordination nationale des collèges d’enseignants en médecine (CNCEM).
L’enseignement théorique et pratique bénéficie depuis peu des apports de l’e -learning et du livret électronique.
Depuis 2014, le COUF a élaboré un référentiel de 221 objectifs qui représentent tout ce qu’un interne doit avoir appris avant la fin de son internat. Parmi ces objectifs, 54 doivent être acquis durant la première année d’internat (phase socle).
Un portail d’e -learning a été créé, baptisé « Système informatique distribué d’évaluation en santé » (SIDES). Il héberge des cours rédigés par des enseignants spécialistes de chaque question (fig. 3-3-1). Chacun de ces cours est sonorisé et doit être consultable en un temps moyen d’une heure par objectif.
Les enseignements relatifs aux items d’urgence sont disponibles à tout moment, y compris en horaires de permanence de soins.
À compter de la rentrée 2017, afin d’appliquer la réforme du DES, tous les cours de SIDES sont désormais hébergés sur la plateforme d’e -learning nationale, créée par l’Université numérique en santé et sport (UNESS). Cette plate-forme est accessible à tous les internes de France avec les identifiants de leur faculté de médecine d’origine. Elle offre à tous les internes de France un accès 24 heures/24 à des cours couvrant tous les champs de l’ophtalmologie et proposés par des enseignants spécialistes dans leur domaine. Ces cours sont accessibles depuis un simple smartphone, et de nombreux internes ont pris le réflexe de consulter ces cours dans un contexte d’urgence ou de garde.
Le livret électronique est intégré au sein de la plate-forme d’e- learning. Ce livret est l’équivalent électronique d’un livret de stage pratique prenant en compte 96 objectifs pratiques que les internes doivent appréhender et maîtriser au cours de leur internat. Il formalise le suivi de l’enseignement. L’objectif de ce livret électronique est d’accompagner l’interne dans sa démarche d’apprenant et de favoriser les échanges avec les médecins seniors qui l’entourent. Les items du livret électronique sont répertoriés selon les modules de l’European Board of Ophthalmology (EBO) dans le domaine médical et chirurgical :
- –
module A : optique, réfraction, ophtalmo-pédiatrie et neuro-ophtalmologie ;
- –
module B : cornée, surface oculaire, orbite et annexes oculaires ;
- –
module C : glaucome, cataracte, chirurgie réfractive ;
- –
module D : segment postérieur, inflammation oculaire.
Les items sont renseignés par l’interne de façon quantitative (nombre d’actes) ou qualitative (non pratiqué/non acquis/à améliorer/acquis). Il existe également un emplacement « commentaires » que l’interne peut utiliser comme bloc-notes.
Afin d’optimiser l’apprentissage, les items d’urgence, spécifiés dans le livret électronique, doivent être travaillés en amont par l’interne sur le plan théorique. Pour cela, il dispose des cours du portail SIDES (fig. 3-3-1) et d’un document d’enseignement de référence élaboré par le COUF : le Référentiel d’enseignement en ophtalmologie. Cette étape peut déjà faire l’objet d’échanges lors des sessions d’enseignement régionales ou interrégionales, ou avec les encadrants. Chaque item des objectifs doit ensuite être pratiqué par l’interne ; il fera l’objet d’une autoévaluation puis d’une évaluation par un superviseur attitré relevant de l’encadrement universitaire. Ainsi, un compagnonnage est organisé afin que l’ensemble des internes aient accès à cet enseignement pratique. Les items chirurgicaux sont travaillés en module de simulation (dry lab et wet lab ) puis validés au bloc opératoire. Les moyens informatiques sont mis à profit pour favoriser les échanges et l’apprentissage progressif et homogène des pratiques ophtalmologiques d’urgence. Ils favorisent l’évaluation régulière tout au long de l’internat.
L’enseignement théorique et le livret électronique formalisent l’apprentissage de l’urgence ophtalmologique au travers d’items spécifiques et de notions transversales. Il convient d’acquérir ces derniers pour pouvoir participer au soin non programmé en ophtalmologie.
Le référentiel français est organisé suivant les quatre modules de l’EBO cités plus haut, auquel le COUF a ajouté un module de connaissances de base.
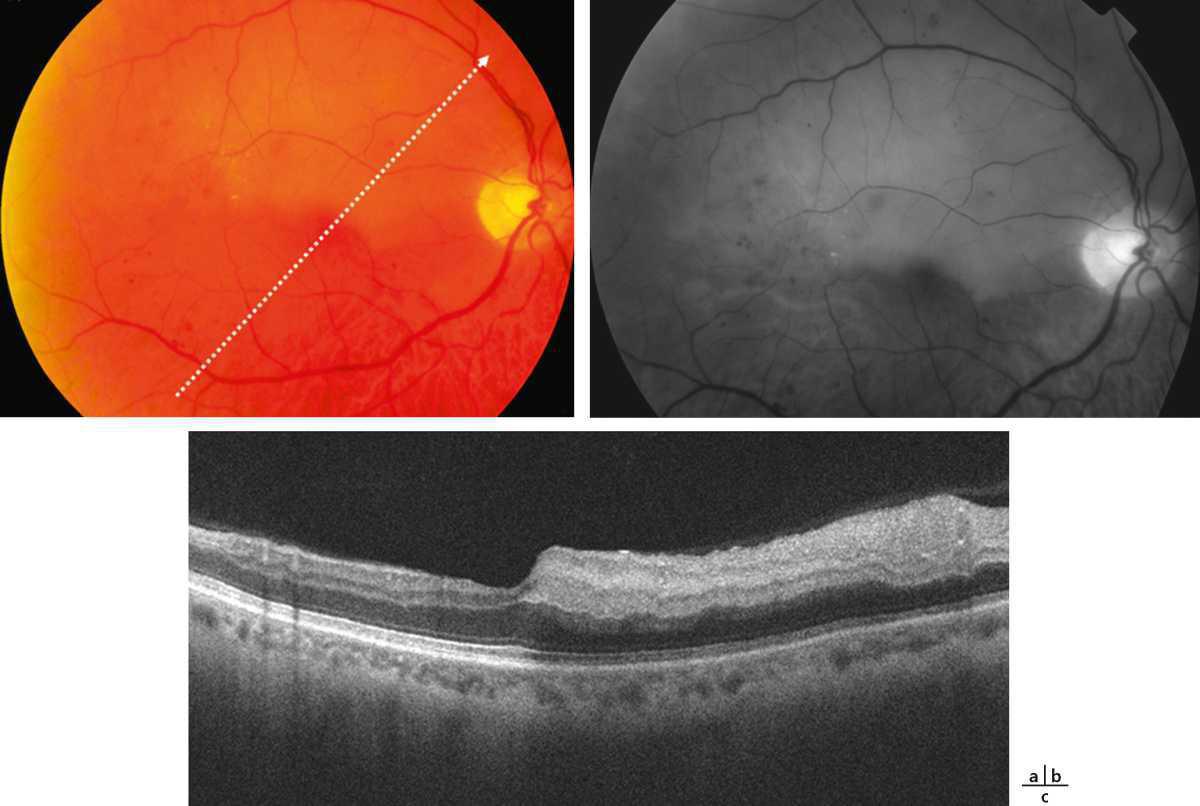
L’enseignement de l’urgence ophtalmologique est dispensé au travers de chaque objectif. On note, par exemple, la kératite bactérienne, les cellulites et mycoses orbitaires, les glaucomes primitifs et secondaires par fermeture de l’angle, les occlusions artérielles rétiniennes (fig. 3-3-1), l’endophtalmie aiguë. Un chapitre à part entière est consacré à la pathologie traumatique. Ce chapitre comporte huit cours. Il a pour objectif de permettre à un interne débutant de prendre en charge toute la pathologie traumatique de l’œil et des annexes en urgence.
Les objectifs pratiques concernant l’apprentissage des urgences ophtalmologiques sont au nombre de 16 dans les modules EBO :
- –
module A : motilité oculaire, examen de l’oculomotricité, examen complet du nouveau-né ;
- –
module B : prélèvement oculaire à visée microbiologique, traiter une brûlure grave de l’œil, savoir enlever une paille de cornée, examen d’une exophtalmie, examen d’un ptosis, suture de plaie palpébrale, suture des canalicules lacrymaux ;
- –
module C : iridotomie périphérique, antibioprophylaxie des plaies oculaires, suture cornéenne ;
- –
module D : injection intravitréenne, suture sclérale, ponction de chambre antérieure et ponction de vitré.
L’enseignement ophtalmologique des étudiants en médecine et/ou préparant un DES d’ophtalmologie comprend désormais une phase d’apprentissage sur simulateur. Il n’existe pas de programme spécifique formalisé pour l’enseignement des urgences ophtalmologiques en particulier. Cependant, ce travail est en cours, supervisé par la CNCEM. Décliné en ophtalmologie, il prévoit que les étudiants en médecine sachent observer un fond d’œil normal, identifier un œdème papillaire, des hémorragies rétiniennes et un décollement de la rétine. Au niveau DES, le nouveau programme (maquette du DES avec phase socle, phase intermédiaire et phase de mise en responsabilité) prévoit des séances sur simulateurs chirurgicaux chaque année, avec des acquis chirurgicaux simulés requis à partir de la deuxième année.
Il existe schématiquement trois types de simulateurs utiles dans l’enseignement d’urgence en ophtalmologie (tableau 3-1-1) :
- –
les simulateurs d’examens : ils initient tous les étudiants en médecine à l’observation du fond d’œil et aux signes physiques majeurs des items d’urgence principaux ;
- –
les simulateurs chirurgicaux de réalité virtuelle ou dry lab (fig. 3-3-2) : ils initient et perfectionnent les futurs ophtalmologistes ou les ophtalmologistes en formation continue à des tâches chirurgicales complexes allant des abords incisionnels aux manipulations intra-oculaires évoluées. Ils contribuent à l’enseignement d’urgence ophtalmologique au travers de scénarios de gestion de complications et de situations critiques chirurgicales ;
Fig. 3-3-2 Simulateurs de type dry lab destinés à l’examen (Ophthasim ® en a) ou à l’apprentissage chirurgical (Insimo ® en b et EyeSi ® en c).
(Source : fig. b, Insimo – IRIA, Strasbourg ; fig. c, F. Phung.) - –
les simulateurs chirurgicaux directs ou wet lab (fig. 3-3-3 et vidéos 3-3-1 et 3-3-2) : dans le cadre de l’enseignement d’urgence, ils permettent particulièrement de s’entraîner aux sutures de plaies cornéennes, sclérales et aux reconstructions du globe.
Fig. 3-3-3 Simulateurs de type wet lab destinés à l’apprentissage chirurgical (Kitaro kit ® en a, b et Bionoko ® en c, d).
(Source : fig. c, d, Bioniko Models.)
| Type de simulateur | Principe | Niveau | Intérêt dans l'enseignement d'urgence ophtalmologique |
|---|---|---|---|
| Ophthosim ® | Ophtalmoscope direct avec capteurs reliés à un ordinateur Visualisation de rétinophotos panoramiques à travers une pupille artificielle | Étudiant |
|
| EyeSi ® | Ophthalmoscope direct/indirect Réalité augmentée | Étudiant Internes DES |
|
| EyeSi ® |
| Internes DES Formation continue |
|
| InSimo ® |
| Internes DES Formation continue | Idem ci-dessus + apprentissage incisionnel |
| Kitaro Kit ® |
| Internes DES | Entraînement aux incisions, injections et manipulations intra-oculaires |
| Bionikos ® |
| Étudiant Internes DES Formation continue | Observation ophtalmoscopique directe basique Entraînement à tous types d'incisions, de sutures, d'injections et d'abords sur le globe oculaire |
